Le malattie dei piccoli vasi cerebrali (Small Vessel Diseases, SVD) rappresentano un gruppo eterogeneo di patologie che colpiscono le piccole arterie, arteriole e venule del cervello, causando ictus ischemici ed emorragici. All’interno di questo spettro, i micro-sanguinamenti cerebellari (Cerebellar Microbleeds, CMB) sono emersi come un marker di neuroimmagine cruciale, rilevabile tramite sequenze di risonanza magnetica (MRI) sensibili al sangue. Tuttavia, la loro presenza pone una sfida diagnostica significativa: distinguere tra le diverse eziologie sottostanti, principalmente l’angiopatia amiloide cerebrale (Cerebral Amyloid Angiopathy, CAA) e la vasculopatia ipertensiva.
La CAA colpisce tipicamente i vasi corticali e leptomeningei, mentre l’ipertensione danneggia prevalentemente i vasi perforanti profondi. Questa distinzione anatomopatologica è fondamentale, poiché suggerisce che le SVD di origine ipertensiva dovrebbero manifestarsi nelle strutture cerebellari profonde (nuclei e sostanza bianca), mentre la CAA dovrebbe colpire la corteccia cerebellare. L’identificazione di marker specifici per ciascuna condizione è quindi di importanza strategica per una diagnosi accurata e una gestione clinica appropriata.
L’ipotesi centrale di questa analisi si basa sull’assunto che la distribuzione topografica dei CMB all’interno del cervelletto non sia casuale, ma rifletta la patologia vascolare sottostante. Nello specifico, la ricerca mira a verificare se la localizzazione dei CMB cerebellari possa fungere da biomarcatore affidabile per distinguere la CAA. Si ipotizza che un pattern di CMB confinato alle regioni superficiali del cervelletto (strettamente corticale) sia fortemente associato alla CAA, in contrapposizione a un pattern profondo o misto, più indicativo di altre eziologie.
Per testare questa ipotesi, è stato implementato un rigoroso disegno di studio che combina l’analisi di dati di imaging avanzato su una coorte clinica con la validazione su una coorte separata con conferma patologica.
Metodologia dello Studio
Un disegno di studio rigoroso è fondamentale per validare l’ipotesi che la topografia dei CMB possa servire come biomarcatore diagnostico. La forza di questo approccio risiede nella combinazione di dati di imaging avanzato, ottenuti da una coorte clinica ben definita, e nella successiva conferma tramite analisi patologica, che rappresenta il gold standard e fornisce il più alto livello di evidenza scientifica.
Popolazione dello Studio
La selezione dei pazienti ha seguito un processo di screening sistematico e multi-step, come illustrato nel diagramma di flusso dello studio.

- Coorte iniziale: sono stati considerati 1204 pazienti consecutivi ricoverati per emorragia intracerebrale (ICH) spontanea tra il 2010 e il 2017.
- Criteri di inclusione: la disponibilità di un esame di risonanza magnetica (MRI) con sequenze pesate in suscettibilità (SWI) o T2*-pesate ha ristretto la coorte a 607 pazienti.
- Pazienti con CMB cerebellari: di questi, 172 presentavano micro-sanguinamenti localizzati nel cervelletto.
- Coorte finale analizzata: dopo l’esclusione di pazienti con imaging di qualità insufficiente, 135 sono stati inclusi nell’analisi topografica finale.
- Coorte patologica: per la validazione, è stata analizzata una coorte separata di 36 pazienti con CMB per i quali erano disponibili campioni cerebrali per la verifica patologica della CAA.
Protocollo di Valutazione MRI
Tutti i pazienti sono stati sottoposti a risonanza magnetica utilizzando scanner da 1.5 Tesla (1.5T). Il protocollo includeva sequenze specifiche per l’identificazione dei CMB, come le immagini pesate in suscettibilità (SWI). La diagnosi di “probabile CAA” è stata formulata in accordo con i criteri di Boston modificati, che si basano sulla presenza di emorragie multiple strettamente lobari, corticali o cortico-sottocorticali in pazienti anziani.
Classificazione Topografica dei Micro-sanguinamenti
Per testare l’ipotesi dello studio, è stato sviluppato un sistema di classificazione topografica dettagliato dei CMB cerebellari, basato su immagini MRI ad alta risoluzione. Il cervelletto è stato suddiviso in due regioni principali:

- Regione superficiale: include la corteccia cerebellare e il verme.
- Regione profonda: include i nuclei grigi profondi del cervelletto e la sostanza bianca circostante.
Sulla base di questa suddivisione, sono stati definiti tre pattern di distribuzione esclusivi per i CMB:
- Strettamente superficiale: CMB presenti solo nella corteccia cerebellare e/o nel verme.
- Strettamente profondo: CMB presenti solo nei nuclei profondi e/o nella sostanza bianca.
- Misto: CMB presenti simultaneamente sia nelle regioni superficiali che in quelle profonde.
Questa metodologia strutturata ha permesso di associare specifici pattern di imaging ai dati clinici e patologici, portando ai risultati descritti di seguito.
Now loading…
Analisi dei Risultati
L’obiettivo dell’analisi dei dati era quantificare la forza dell’associazione tra i diversi pattern di distribuzione dei CMB cerebellari e la diagnosi di angiopatia amiloide cerebrale, sia quella definita clinicamente (“probabile CAA”) sia quella confermata istologicamente.
Dati demografici e clinici
L’analisi iniziale ha confrontato i pazienti con ICH che presentavano CMB cerebellari (n=135) con quelli che non ne avevano (n=72). Contrariamente a quanto si potrebbe ipotizzare, non è emersa una differenza statisticamente significativa nel tasso di diagnosi di “probabile CAA” tra i due gruppi (P=1.0). Tuttavia, l’analisi ha rivelato che i pazienti con CMB cerebellari mostravano tassi significativamente più elevati di ipertensione (86.7% vs 70.8%, P<0.001) e una maggiore prevalenza di micro-sanguinamenti sopratentoriali (71.1% vs 51.2%, P<0.001), suggerendo un carico complessivo di malattia dei piccoli vasi più severo.
Confronto tra pattern di distribuzione dei CMB
L’analisi si è poi focalizzata sul confronto tra i pazienti con un pattern di CMB strettamente superficiale (n=85) e quelli con un pattern profondo o misto (n=50). I risultati, sintetizzati nella tabella sottostante, mostrano differenze marcate e statisticamente significative.
| Caratteristica | CMB Strettamente superficiali (n=85) | CMB profondi/Misti (n=50) | Valore P |
|---|---|---|---|
| Diagnosi di ICH profondo/misto | 40 (47.0%) | 38 (76.0%) | <0.001 |
| Diagnosi di probabile CAA | 30 (35.3%) | 8 (16.0%) | 0.02 |
La differenza più notevole è emersa nella localizzazione dell’emorragia primaria: i pazienti con CMB profondi/misti avevano una probabilità significativamente maggiore di presentare un’emorragia intracerebrale profonda o mista (76.0%) rispetto a quelli con CMB superficiali (47.0%). Inoltre, l’analisi multivariata ha confermato che la diagnosi di probabile CAA era associata in modo indipendente al solo pattern superficiale dei CMB.

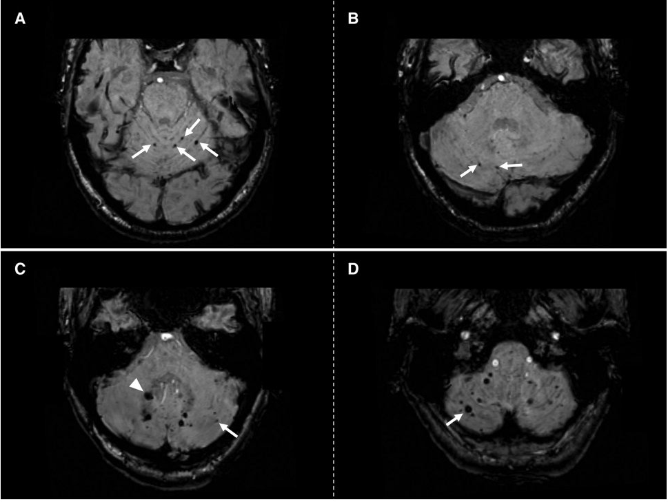
Pannelli A e B: mostrano un paziente con microemorragie cerebellari strettamente superficiali (frecce).
Pannelli C e D: mostrano un pattern misto di CMB cerebellari in un paziente con ICH non correlata alla CAA.
Pannello C: CMB cerebellari localizzate nella sostanza grigia e bianca profonda del cervelletto (punta di freccia) e nell’area superficiale (freccia).
Pannello D: ulteriori CMB nell’area superficiale del cervelletto (freccia) nello stesso paziente.
Correlazione con la verifica patologica
L’evidenza più forte a sostegno dell’ipotesi dello studio proviene dalla coorte con verifica patologica. L’analisi ha dimostrato una correlazione eccezionalmente forte tra il pattern di CMB superficiale e la conferma istologica di CAA.
| Pattern CMB | CAA Patologicamente Verificata | CAA Non Patologicamente Verificata | P-Value |
|---|---|---|---|
| Superficiale (n=24) | 23 (95.8%) | 1 (4.2%) | <0.001 |
| Profondo/Misto (n=12) | 3 (25.0%) | 9 (75.0%) |
Questi dati sono inequivocabili: quasi la totalità dei pazienti (95.8%) con un pattern di CMB cerebellari strettamente superficiale aveva una diagnosi di CAA confermata all’esame patologico. Al contrario, solo il 25% dei pazienti con un pattern profondo o misto presentava evidenza di CAA, indicando che in questi casi la patologia sottostante era prevalentemente di altra natura.
Questi risultati forniscono una solida base quantitativa per discutere le implicazioni cliniche di questo nuovo biomarcatore di imaging.
Discussione e implicazioni cliniche
I risultati di questo studio supportano fortemente l’ipotesi che la distribuzione topografica dei micro-sanguinamenti cerebellari non sia un fenomeno casuale, ma piuttosto un riflesso diretto della patologia dei piccoli vasi sottostante. L’associazione quasi perfetta tra un pattern di CMB strettamente superficiale e la CAA patologicamente verificata indica che questa caratteristica di imaging possiede un alto valore diagnostico.
Impatto diagnostico
Dal punto di vista clinico, questi risultati hanno implicazioni immediate. L’osservazione di un pattern di CMB confinato alla corteccia cerebellare e al verme su una MRI dovrebbe aumentare significativamente la confidenza diagnostica per l’angiopatia amiloide cerebrale. Questo è particolarmente utile nel contesto della diagnosi differenziale con la vasculopatia ipertensiva, che classicamente colpisce le strutture profonde del cervello, come i nuclei della base e il tronco encefalico, e che si associa più logicamente a CMB localizzati nei nuclei grigi profondi del cervelletto e nella sostanza bianca. La classificazione topografica dei CMB cerebellari può quindi servire come un potente strumento per distinguere tra queste due comuni cause di SVD ed emorragia cerebrale.
Meccanismo patologico sottostante
Il meccanismo patologico proposto è coerente con le osservazioni. L’angiopatia amiloide cerebrale è caratterizzata dalla deposizione di peptide beta-amiloide nelle pareti delle arteriole corticali e leptomeningee. Questa localizzazione anatomica spiega perché la fragilità vascolare e i conseguenti micro-sanguinamenti si manifestino prevalentemente nelle regioni superficiali del cervelletto, risparmiando le strutture profonde la cui vascolarizzazione ha un’origine differente. Il pattern di CMB diventa così una “mappa” visibile della patologia a livello microscopico. Sebbene questi risultati offrano un modello patofisiologico convincente, è essenziale considerarli nel contesto delle limitazioni metodologiche dello studio.
Limitazioni dello studio
Per un’interpretazione equilibrata, è importante riconoscere le limitazioni dello studio. La coorte analizzata proviene da un singolo centro e potrebbe essere soggetta a un potenziale bias di selezione, in particolare nella coorte patologica. Inoltre, la risoluzione della MRI a 1.5T, sebbene clinicamente standard, potrebbe non essere in grado di rilevare tutti i micro-sanguinamenti più piccoli, potenzialmente portando a una sottostima o a una classificazione errata in rari casi. Tuttavia, la forte associazione statistica e la validazione patologica conferiscono grande robustezza ai risultati.
Conclusioni
Questa analisi dettagliata dimostra in modo conclusivo che la distribuzione dei micro-sanguinamenti cerebellari non è un reperto generico, ma è fortemente associata a specifiche patologie dei piccoli vasi cerebrali. La localizzazione topografica di questi marker di imaging fornisce informazioni cruciali sull’eziologia sottostante.
Il messaggio chiave e la conclusione principale di questo studio possono essere così riassunti:
Un pattern di micro-sanguinamenti strettamente superficiale nel cervelletto è un forte e affidabile indicatore di angiopatia amiloide cerebrale, sia clinicamente diagnosticata che patologicamente verificata.
Questo biomarcatore di neuroimmagine, semplice da applicare nella pratica clinica, può migliorare significativamente l’accuratezza diagnostica e guidare le decisioni terapeutiche per i pazienti affetti da malattie cerebrovascolari.
Fonte: Pasi M, Pongpitakmetha T, Charidimou A, et al. Cerebellar Microbleed Distribution Patterns and Cerebral Amyloid Angiopathy. Stroke. 2019;50(7):1727-1733. doi:10.1161/STROKEAHA.119.024843














