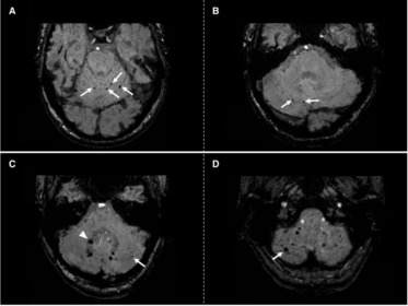
Analisi dei pattern di distribuzione dei micro-sanguinamenti cerebellari e angiopatia amiloide cerebrale in risonanza magnetica

Le malattie dei piccoli vasi cerebrali (Small Vessel Diseases, SVD) rappresentano un gruppo eterogeneo di patologie che colpiscono le piccole arterie, arteriole e venule del cervello, causando ictus ischemici ed emorragici. All’interno di questo spettro, i micro-sanguinamenti cerebellari (Cerebellar Microbleeds, CMB) sono emersi come un marker di neuroimmagine cruciale, rilevabile tramite sequenze di risonanza magnetica…

Continue reading Analisi dei pattern di distribuzione dei micro-sanguinamenti cerebellari e angiopatia amiloide cerebrale in risonanza magnetica