Il versamento pleurico è l’accumulo di liquido nella cavità pleurica che può originare partendo da una pleurite secca che pian piano accumula liquido pleurico (a causa del mancato riassorbimento), per esempio, come conseguenza di una tubercolosi iniziale.

Possiamo classificare il versamento pleurico in base alla localizzazione e alle caratteristiche del liquido.
In base alla localizzazione distinguiamo:
- versamento libero, in cui il liquido occupa la cavità pleurica parzialmente o totalmente e può essere dovuto ad un’espansione del versamento pleurico subpolmonare (a).
- versamento subpolmonare, in cui il liquido si accumula tra il polmone e il diaframma (b).
- versamento intrascissurale, che è limitato dalle scissure e si localizza tra i lobi polmonare, di solito dovuto all’insufficienza cardiaca (c). Di solito l’accumulo di liquido pleurico avviene nella scissura maggiore. La forma è così caratteristica che a volte può essere confusa per un tumore.
In base alle caratteristiche del liquido, analizzate facendo un’estrazione del liquido e un’analisi proteica, il versamento può essere:
- trasudato, quando diminuisce la quantità di proteine nel liquido.
- essudato, quando la concentrazione di proteine nel liquido è elevata.
Meccanismi
I meccanismi che portano ad un versamento pleurico sono relazionati con le forze di Starling (pressione oncotica, pressione idrostatica e permeabilità dei capillari della pleura). Nei modelli sperimentali è stato dimostrato che affinché si abbia versamento è necessario che siano alterati non solo la produzione di liquido, ma anche il riassorbimento, formando una grande fuoriuscita di liquido. Le principali ragioni affinché si produca liquido sono le seguenti:
Now loading…
- aumento della permeabilità pleurica, che può avvenire in processi infiammatori, infettivi, neoplastici (il liquido viene secreto e inoltre il riassorbimento viene ostruito dalla crescita di cellule cancerogene nelle zone dove circola il liquido) e infarto polmonare (la pleura si infiamma essendo in prossimità della zona infartuata).
Inoltre, di solito, c’è un aumento dei livelli di proteine ad alto peso molecolare nel liquido pleurico (a volte anche di cellule), per cui assumerà caratteristiche di essudato. - aumento della pressione idrostatica nei capillari per aumento della pressione venosa sistemica (a livello della pleura parietale) o polmonare (a livello della pleura viscerale). Questo avviene nell’insufficienza cardiaca destra e sinistra, sovraccarico di liquidi (iatrogenicamente) o insufficienza renale.
Se aumenta la pressione venosa il flusso attraverso i vasi linfatici è difficile, il liquido vascolare si accumula inizialmente nell’interstizio e successivamente filtra attraverso la superficie della pleura viscerale, e il sistema linfatico è incapace di eliminare tutta la quantità filtrata. In questi casi la concentrazione di proteine è bassa perché all’aumentare della pressione esce solamente liquido (trasudato), essendo la permeabilità normale. - riduzione della pressione oncotica nel plasma nei capillari pleurici (i liquidi fuoriescono dai capillari). Appare quando le proteine nel sangue sono basse, per esempio in paziente con sindrome nefrosica (diminuzione delle proteine nei glomeruli per alterazione dei capillari, per cui vengono perse proteine come l’albumina tramite le urine), con cirrosi epatica (alterazione della sintesi dell’albumina), malnutrizione (causa ipoalbuminemia) ed enteropatie. Essendo le proteine ridotte, il liquido sarà un trasudato.
- alterazione del drenaggio linfatico. Aumenta la linfa nello spazio pleurico per rottura o compressione da trauma del dotto linfatico. Il liquido pleurico ha un aspetto lattiginoso, con alto contenuto in trigliceridi (chilotorace) dovuto all’aumento della linfa, la quale appare nello spazio pleurico.
- passaggio transdiaframmatico del liquido addominale. A causa di carcinosi peritoneale, asciti e altre patologie, nella cavità pleurica si formano grandi quantità di liquido ad altissima pressione. Il liquido acido del peritoneo può passare attraverso il diaframma nello spazio pleurico.
- emotorace, che provoca un accumulo di sangue nella cavità pleurica a causa della rottura dei vasi (incidenti stradali, lesioni da arma bianca). Se oltre al sangue entra aria attraverso questa lesione si parla di emopneumotorace (versamento pleurico sanguinante).
- diminuzione della pressione intrapleurica come conseguenza di grandi atelectasie (collasso di una parte o, con minore frequenza, di tutto il polmone. E’ causata da una ostruzione delle vie aeree o da una pressione esterna sul polmone) per cui si blocca la ventilazione di un lobo. Si produce una diminuzione della pressione negativa nello spazio pleurico che può portare ad un versamento.
Manifestazioni
Il versamento pleurico limita l’espansione del polmone provocando atelettasia passiva (secondaria al versamento pleurico) che è maggiore o minore in funzione della quantità di versamento.
Questo provoca inoltre un’alterazione del rapporto ventilazione/perfusione (che diminuisce), essendo gli alveoli collassati (non entra aria), ma possono ancora essere ben perfusi.
Alla fine si ha uno spostamento mediastinico verso il lato sano e alterazione (concretamente una diminuzione) del ritorno venoso e della gittata cardiaca. Questo accade soprattutto nei versamenti massicci.

Tutto questo provocherà una clinica caratterizzata da:
- dispnea, come conseguenza della limitazione dell’espansione del polmone, proporzionale al grado del versamento.
- dolore teso, vago, meno intenso man mano che il liquido si accumula. Non c’è attrito con le terminazioni nervose, per cui il dolore non è particolarmente intenso.
- rigonfiamento dell’emitorace, per cui si separano gli spazi intercostali, soprattutto nei versamenti massicci.
- abolizione delle vibrazioni vocali in quanto il liquido si comporta come un isolante, non si percepiscono le vibrazioni delle corde vocali.
- suono ovattato alla percussione che segue la linea parabolica di Ellis-Damoiseau (dall’ascella verso il basso). Normalmente il versamento si accumula verso le zone più basse per azione della forza di gravità, tuttavia, la pressione nei campi superiori del torace è più negativa, per cui si avrà un’assorbimento verso l’alto del versamento che seguirà questa linea parabolica.
- all’auscultazione abolizione dei rumori alla base con un soffio nella zona superiore al versamento. Questo è quello che si conosce come soffio pleurico, che si verifica nella zona più sottile del versamento (zona superiore).
Il versamento pleurico influisce sul ritorno venoso spostando il mediastino, diminuisce la gittata cardiaca e può portare a shock, oltre a produrre dispnea e atelettasia in tutto quel polmone.
Radiologia
L’aspetto radiologico cambia in base al tipo di versamento pleurico:
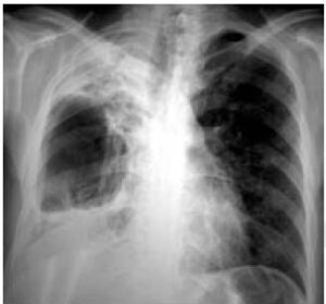
- nel versamento libero appare un’opacità con concavità superiore (disegnando la linea di Ellis-Damoiseau), espansione dell’emitorace e spostamento del mediastino verso il lato sano a seconda della quantità di versamento.
- nel versamento subpolmonare appare un falso innalzamento dell’emidiaframma. Sembra che il diaframma si trovi più in alto del normale, tuttavia non è il diaframma ad alzarsi, ma è il liquido che si accumula.
- nel versamento intrascissurale è visibile un nodulo che potrebbe essere confuso per un tumore (tumore fantasma).

Nel versamento pleurico massivo, se il liquido si accumula sempre di più, si ha un collasso progressivo del parenchima polmonare sottostante che può rendere completamente opaco un emitorace che apparirà completamente bianco.
I segni che ci portano verso la diagnosi sono l’opacità totale di un emitorace, lo spostamento del mediastino verso il lato controlaterale, l’abbassamento del diaframma che può assumere una forma invertita, l’allargamento degli spazi intercostali e assenza di broncogramma aereo (in quanto vi è un aumento di densità, non si vedrà il broncogramma aereo).
Toracocentesi
In presenza di un versamento pleurico è possibile realizzare una toracocentesi. Essa consiste nell’estrazione del liquido contenuto nelle pleure mediante una puntura attraverso lo spazio intercostale lontano dalla colonna vertebrale. E’ una pratica che viene effettuata con fini diagnostici o evacuatori in caso di grandi versamenti.
Questo ci permette di osservare l’aspetto del liquido (lattiginoso, ematico, essudato/trasudato) e realizzare una conta di cellule, proteine, LDH (aumenta nei tumori), glucosio (si riduce nelle infezioni o nei tumori in quanto consumato dai microrganismi o dalle cellule neoplastiche), pH, ADA (adenosina deaminasi che è alta nella tubercolosi).
In definitiva, analizzare il liquido permette di classificare il versamento pleurico in:
- trasudato: giallognolo, scarsa quantità di proteine e LDH (lattosio deidrogenasi) e pertanto relazionado con un aumento della pressione idrostatica o una diminuzione della pressione oncotica. E’ correlato ad una insufficienza cardiaca.
- essudato: giallognolo (anche se è più variabile), alto contenuto di proteine e LDH. La comparsa di cellule indica un aumento della permeabilità. L’aumento di leucociti polimorfonucleati indica la presenza di infezione (appare pus di un colore verdognolo) e viene chiamato empiema.
Fonte: Malattie dell’apparato respiratorio. Pneumologia e chirurgia toracica.








