La scintigrafia ossea rappresenta una delle metodiche più consolidate e versatili nel panorama della medicina nucleare diagnostica. Sin dalla sua introduzione clinica, favorita dalla scoperta del tecnezio-99m metilendifosfonato (99mTc-MDP) da parte di Subramanian e McAfee nel 1971, questa tecnica ha ridefinito la capacità dei clinici di osservare i processi biologici dello scheletro ben prima che questi si traducano in alterazioni morfologiche visibili radiologicamente.1
L’essenza della scintigrafia ossea risiede nella sua natura funzionale: a differenza della radiografia convenzionale o della tomografia computerizzata (TC), che rilevano variazioni della densità minerale ossea solo quando queste superano una soglia del 30-40%, la scintigrafia è in grado di identificare modificazioni del turnover metabolico e della vascolarizzazione con una sensibilità estremamente precoce.
Negli ultimi tre decenni, il paradigma d’uso della scintigrafia ossea ha subito una trasformazione radicale. Mentre nel 1998 circa il 60,3% degli esami veniva eseguito per indicazioni oncologiche metastatiche, nel 2021 tale quota è scesa al 15,5%, a favore di un massiccio incremento delle applicazioni non oncologiche in ambito ortopedico e reumatologico, che oggi rappresentano l’84,5% delle richieste cliniche.
Questo spostamento riflette sia l’avvento di tecniche di imaging molecolare specifiche (come la PET/CT con PSMA o FDG) sia una maggiore comprensione dell’utilità dellascintigrafia trifasica e della SPECT/CT nella gestione delle patologie osteoarticolari benigne e delle complicanze protesiche.23
Fondamenti di radiofarmacologia e meccanismi di captazione
Il successo diagnostico della scintigrafia ossea è strettamente legato alle proprietà chimico-fisiche dei radiofarmaci impiegati, principalmente difosfonati organici marcati con 99mTc. Il tecnezio-99m è l’isotopo d’elezione grazie alle sue caratteristiche fisiche ottimali: emette radiazioni gamma con un’energia di 140 keV, ideale per le attuali gamma-camere, e possiede un’emivita fisica di circa 6,02 ore, che permette di bilanciare la durata dell’esame con una contenuta esposizione radiologica per il paziente.45
I radiofarmaci più comuni appartengono alla classe dei difosfonati, caratterizzati da un legame organico P-C-P che garantisce un’elevata stabilità in vivo, resistendo all’idrolisi enzimatica da parte delle fosfatasi alcaline plasmatiche. Tra questi, il metilene-difosfonato (MDP) e l’idrossimetilene-difosfonato (HDP o HMDP) sono i più utilizzati.
Il meccanismo fondamentale di accumulo è il chemioadsorbimento: le molecole del radiofarmaco si legano chimicamente alla superficie dei cristalli di idrossiapatite, specialmente nelle aree di neo-osteogenesi dove i cristalli sono più piccoli e la superficie di scambio è maggiore.
La captazione del tracciante non è un processo statico, ma dipende strettamente da due variabili fisiopatologiche: il flusso ematico regionale e l’attività osteoblastica.
Un aumento del flusso ematico veicola una maggiore quantità di radiofarmaco al sito osseo, mentre l’iperattività degli osteoblasti facilita l’incorporazione del tracciante nella matrice ossea in formazione. Al contrario, condizioni che riducono la vascolarizzazione (come l’ischemia acuta) o che comportano una distruzione ossea puramente litica senza reazione osteoblastica (come in alcuni casi di mieloma multiplo) possono risultare in aree di ipocaptazione o “fredde“.
Farmacocinetica e dosimetria
Dopo la somministrazione endovenosa, i difosfonati marcati seguono una cinetica biesponenziale. Circa il 50% della dose iniettata si fissa stabilmente nello scheletro entro 2-6 ore, mentre la frazione rimanente viene escreta per via urinaria. Questo rapido smaltimento renale è cruciale per ottenere un buon rapporto segnale-fondo (target-to-background ratio), permettendo di visualizzare lo scheletro con chiarezza una volta che la radioattività nel sangue e nei tessuti molli si è ridotta.
La dose di attività somministrata a un paziente adulto varia tipicamente tra 500 e 800 MBq (15-25 mCi). In ambito pediatrico, la dose viene rigorosamente calcolata in base al peso corporeo seguendo le linee guida dell’EANM (European Association of Nuclear Medicine), partendo da un’attività minima di 40 MBq.
Parametro dosimetrico
Valore medio in mGy (adulto 750 MBq)
Dose efficace corpo intero
1.3
Parete vescicale (minzione ogni 2h)
26.0
Midollo osseo
5.7
Reni
6.2
Scheletro
7.1
L’esposizione radiologica è paragonabile o inferiore a quella di molti esami radiologici convenzionali, e il rischio è considerato minimo se confrontato con il beneficio diagnostico.
L’idratazione abbondante e la minzione frequente sono le principali strategie per ridurre ulteriormente la dose assorbita dalla vescica, che è l’organo critico per questa procedura.
Indicazioni cliniche
La versatilità della scintigrafia ossea le permette di essere uno strumento indispensabile in oncologia, ortopedia e reumatologia, sebbene con obiettivi e protocolli spesso differenti.
L’imaging oncologico
In oncologia, la scintigrafia “Whole Body” rimane la tecnica standard per la ricerca di metastasi ossee secondarie a tumori solidi, in particolare mammella, prostata e polmone.
Le metastasi ossee sono solitamente multiple e si localizzano preferenzialmente nello scheletro assiale (80%), con una predilezione per le vertebre (40%) e il complesso costale-sternale (30%).
Un aspetto critico dell’interpretazione oncologica è la distinzione tra progressione di malattia e risposta terapeutica. Il “fenomeno Flare” è una condizione ben nota in cui, dopo l’inizio di una terapia efficace (come l’ormonoterapia nel cancro della prostata), le lesioni metastatiche appaiono paradossalmente più intense o più numerose nelle immagini scintigrafiche eseguite entro i primi 2-6 mesi.6 Questo non indica un peggioramento, ma una risposta osteoblastica riparativa dell’osso che sta guarendo; il riconoscimento di questo pattern evita l’interruzione prematura di trattamenti benefici.
La scintigrafia è fondamentale anche per:
valutare l’estensione di neoplasie ossee primitive come l’osteosarcoma e il sarcoma di Ewing;
identificare la sede ottimale per biopsie ossee mirate;
monitorare la risposta alla radioterapia metabolica con Radio-223 o 177Lu-PSMA nelle metastasi da carcinoma prostatico resistente alla castrazione.7
Ortopedia, traumatologia e medicina dello sport
Fratture da stress in un wrestler che lamentava dolore lombare cronico rilevate mediante SPECT/CT con indicatore osteotropo a livello del peduncolo di L4 e dell’ala sacrale destra.
In ambito ortopedico, la scintigrafia ossea eccelle nella rilevazione di danni strutturali che non comportano ancora una perdita macroscopica di calcio. Le fratture da stress, comuni negli atleti e nei militari, si manifestano come aree ipercaptanti lineari o focali molto prima di essere visibili ai raggi X.
Analogamente, la scintigrafia è altamente sensibile per la diagnosi precoce di fratture del collo del femore nell’anziano o fratture dello scafoide carpale quando la radiografia è dubbia.
Un’indicazione in forte crescita riguarda la valutazione delle protesi articolari dolorose (anca, ginocchio, spalla). Attraverso la scintigrafia trifasica, è possibile differenziare tra:
mobilizzazione asettica: l’aumento dell’attività metabolica è limitato alla fase tardiva e localizzato all’interfaccia osso-protesi.;
infezione peri-protesica: si osserva ipercaptazione in tutte e tre le fasi (vascolare, blood-pool e tardiva). La specificità può essere aumentata integrando l’esame con la scintigrafia con leucociti marcati.
La tecnica trova impiego anche nello studio della vitalità degli innesti ossei e nella diagnosi di necrosi avascolare (es. malattia di Legg-Calvé-Perthes), dove l’assenza di segnale indica un’interruzione del flusso ematico epifisario.
Reumatologia e malattie metaboliche
In reumatologia, la scintigrafia permette di mappare l’attività infiammatoria in corso di artrite reumatoide, psoriasica o spondilite anchilosante. La valutazione quantitativa delle articolazioni sacroiliache tramite il Sacroiliac Index (SII) fornisce un parametro oggettivo per la diagnosi di sacroileite precoce, spesso superiore alla sola valutazione visiva.8
Le malattie metaboliche dell’osso offrono quadri scintigrafici caratteristici:
morbo di Paget: caratterizzato da una captazione estremamente intensa, spesso deformante, che segue l’anatomia dell’osso coinvolto (es. segno del “Mickey Mouse” nelle vertebre);9
osteodistrofia renale e iperparatiroidismo: possono causare una captazione diffusa e marcata dello scheletro assiale, delle ossa craniche e della giunzione costo-condrale (rosario rachitico), spesso associata a una ridotta visualizzazione dei reni.
Procedure pre-esame e gestione del paziente
La qualità di una scintigrafia ossea dipende non solo dall’apparecchiatura, ma anche da una preparazione rigorosa e da una corretta raccolta anamnestica.
Il paziente deve essere informato che la scintigrafia non richiede il digiuno e che non si tratta di un mezzo di contrasto radiologico, riducendo le ansie legate a possibili reazioni allergiche gravi, che sono pressoché inesistenti. È essenziale spiegare la durata complessiva dell’indagine, che può richiedere dalle 3 alle 4 ore a causa del tempo necessario per il fissaggio del radiofarmaco all’osso.
Valutazione clinica e raccolta anamnestica
In Italia, l’esecuzione della scintigrafia è regolata dal D. Lgs. n.101/2020 (artt. 157 e 159), che affida al medico nucleare la responsabilità finale della giustificazione dell’esame. Durante la visita preliminare, è obbligatorio indagare:
storia traumatica e chirurgica: fratture recenti o pregressi interventi di ortopedia possono causare aree di ipercaptazione fisiologica che durano mesi o anni;
terapie in corso: l’uso di bisfosfonati terapeutici, steroidi o ferro può influenzare la biodistribuzione del tracciante;10
stato di gravidanza e allattamento: la gravidanza è una controindicazione assoluta; l’allattamento richiede una sospensione di 24 ore;
documentazione radiologica: la disponibilità di precedenti RX, TC o RM è fondamentale per la corretta interpretazione dei reperti scintigrafici.
Preparazione fisica
Tra l’iniezione e l’acquisizione, il paziente deve essere istruito a bere circa 500-1000 ml di acqua e a minzionare. Questo protocollo accelera l’escrezione renale del radiofarmaco non legato, migliorando il contrasto dell’immagine e riducendo la dose di radiazioni alla vescica.
Prima di posizionarsi sulla gamma-camera, è fondamentale che il paziente urini e rimuova ogni oggetto metallico (collane, cinture, monete) che potrebbe causare artefatti da attenuazione.
Tecniche di acquisizione e protocolli
La gamma-camera moderna consente diverse modalità di acquisizione, selezionate in base al quesito clinico.
Scintigrafia Whole Body e statica
L’acquisizione Total Body prevede la scansione planare lenta e continua dell’intero scheletro in proiezione anteriore e posteriore. Questo fornisce una visione d’insieme del metabolismo scheletrico e permette di identificare lesioni asintomatiche distanti dal sito primario di sospetto.
Le immagini statiche (spot) vengono acquisite per ottenere una risoluzione spaziale superiore in distretti complessi come il cranio, il torace o le estremità.
SPECT e SPECT/CT
La Tomoscintigrafia ad Emissione di Singolo Fotone (SPECT) rappresenta l’evoluzione tridimensionale della scintigrafia planare. Ruotando le testate della gamma-camera attorno al paziente, è possibile ricostruire sezioni tomografiche dello scheletro, eliminando le sovrapposizioni dei tessuti.
L’aggiunta di una TC integrata (SPECT/CT) ha trasformato la scintigrafia in una tecnica morfofunzionale. La TC non solo fornisce mappe di attenuazione per migliorare la qualità delle immagini SPECT, ma permette la localizzazione anatomica precisa dei focolai di ipercaptazione. In oncologia, la SPECT/CT permette di distinguere con certezza tra una metastasi vertebrale e un’artrosi delle faccette articolari, riducendo drasticamente i risultati falsi positivi.11
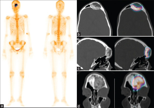
Giovane donna di 22 anni con massa frontale sinistra in lento e progressivo accrescimento da 8 anni. Presenta sintomi locali (arrossamento oculare, algie, cefalea) in assenza di deficit visivi. È stata eseguita una scintigrafia ossea con 99mTc-MDP.
Le immagini tardive (a) hanno mostrato una focale ed intensa captazione del tracciante nel cranio, in corrispondenza del margine sovraorbitario sinistro. Le immagini SPECT-TC nelle sezioni assiale (b), sagittale (c) e coronale (d) hanno evidenziato un’opacità a “vetro smerigliato” che coinvolgeva il margine posteriore del seno frontale sinistro, apparso ingrandito. La scintigrafia ossea ha documentato un quadro di displasia fibrosa monostotica.
La scintigrafia ossea trifasica
Questo protocollo è lo standard per lo studio di infezioni e infiammazioni localizzate. Si compone di:
fase vascolare (angioscintigrafia): acquisita nei primi 60 secondi dall’iniezione, valuta l’apporto ematico arterioso alla regione d’interesse;
fase di equilibrio (blood pool): acquisita entro 5 minuti, visualizza l’iperemia tissutale e l’edema;
fase ossea tardiva: eseguita dopo 2-4 ore, mostra il turnover osseo minerale effettivo.
Un pattern positivo in tutte e tre le fasi è tipico dell’osteomielite acuta o di un tumore osseo ipervascolarizzato.
Uomo di 35 anni con lombalgia in peggioramento da 6 mesi e recente insorgenza di dolore alla spalla sinistra, associati a inappetenza e malessere. È stata eseguita una scintigrafia ossea trifasica con 99mTc-MDP.
La fase di flusso ha mostrato un’ipervascolarizzazione a livello delle vertebre L3-L4 (a). Le immagini statiche di blood-pool (b. 1) e tardive (b. 2) della regione lombare hanno evidenziato un aumentato accumulo ematico e una captazione tardiva del tracciante nella medesima regione a livello L3-L4. L’immagine whole-body di blood-pool (c) e le immagini tardive (d) acquisite dopo 3 ore hanno mostrato un’aumentata captazione a livello delle vertebre L3-L4, dell’articolazione sterno-claveare sinistra e del manubrio dello sterno. Le immagini SPECT-TC della vertebra L4 (e) hanno rivelato una lesione distruttiva con interessamento dei tessuti molli pre- e paravertebrali; reperti simili di distruzione e raccolta fluida sono stati notati nell’articolazione sterno-claveare sinistra (f). Nella lesione vertebrale si osserva un sequestro a bottone (freccia nera). La RM eseguita 2 giorni dopo ha confermato una spondilodiscite.
Uomo di 72 anni con artrite reumatoide sieropositiva (in terapia biologica) e dolore cervicale. Un iniziale reperto RM aveva posto il sospetto di un’infezione a livello dell’articolazione atlanto-assiale. Il paziente è stato sottoposto a scintigrafia ossea trifasica con 99mTc-MDP.
L’immagine whole-body di blood-pool (a) ha mostrato un aumentato accumulo del tracciante in entrambe le articolazioni delle spalle, nell’articolazione sternoclaveare destra, in entrambi i polsi, nel ginocchio destro e nelle piccole articolazioni di mani e piedi. L’immagine whole-body tardiva (b) ha evidenziato un’aumentata concentrazione del tracciante nelle medesime regioni che mostravano un aumentato accumulo ematico. La SPECT-TC della regione testa-collo ha mostrato un’aumentata captazione del tracciante lungo le faccette di sinistra tra le vertebre C1 e C2 (c) e nell’articolazione sternoclaveare destra (d), quadri interamente riconducibili ad artrite reumatoide attiva.
Bambina di 7 anni con dolore e gonfiore alla caviglia destra; indici di flogosi (VES e PCR) elevati, ma radiografia iniziale negativa. La paziente è stata sottoposta a scintigrafia ossea trifasica con 99mTc-MDP.
La fase di flusso della caviglia (a) ha mostrato una vascolarizzazione aumentata a destra. Le immagini statiche di blood-pool (b. 1 e b. 2) hanno evidenziato un aumentato accumulo del tracciante nell’articolazione della caviglia destra, mentre le immagini statiche tardive (b. 3 e b. 4) hanno mostrato un lieve aumento della captazione nell’articolazione tibio-tarsica destra con captazione ossea relativamente normale, quadro suggestivo di cellulite. L’immagine whole-body di blood-pool (c) ha mostrato un lieve aumento dell’accumulo ematico nel cranio (frontale destro e parietale sn), in entrambe le spalle e in alcune coste di destra, oltre al coinvolgimento della caviglia. Le stesse regioni hanno mostrato un’aumentata captazione nelle immagini whole-body tardive (d) acquisite dopo 3 ore. È stata posta diagnosi di osteomielite multifocale. L’aspirazione del liquido articolare dalla caviglia destra ha rivelato la presenza di bacilli tubercolari.
Uomo di 40 anni, sottoposto a sostituzione dell’anca con protesi 2 anni prima, si è presentato con dolore sordo all’anca sinistra e a metà coscia.
La radiografia dell’anca è risultata nella norma, mentre la VES era lievemente elevata. A causa del dolore persistente, il paziente è stato sottoposto a scintigrafia ossea trifasica con 99mTc-MDP.
Le immagini di flusso (1a) hanno mostrato una vascolarizzazione normale in entrambe le articolazioni coxo-femorali. L’immagine di blood-pool dell’anca (1b) ha evidenziato un minimo aumento dell’accumulo del tracciante nell’articolazione coxo-femorale sinistra, prevalentemente lungo la superficie acetabolare. L’immagine statica tardiva (1c) e l’immagine whole-body (1d) hanno mostrato un lieve aumento della captazione nella superficie acetabolare sinistra e una captazione focale nella regione intertrocanterica all’interfaccia osso-protesi. Diagnosi: mobilizzazione asettica.
Donna di 58 anni, sottoposta a sostituzione totale del ginocchio sinistro, si è presentata con dolore in sede chirurgica.
La radiografia del ginocchio è risultata nella norma e la VES era lievemente elevata. La paziente è stata sottoposta a scintigrafia ossea trifasica con 99mTc-MDP.Le immagini di flusso (2a) hanno mostrato un’aumentata vascolarizzazione nel ginocchio sinistro e l’immagine di blood-pool (2b) ha evidenziato un aumentato accumulo del tracciante nella stessa sede. L’immagine statica tardiva dell’articolazione del ginocchio (2c) e l’immagine whole-body (2d) hanno mostrato un diffuso aumento della captazione all’interfaccia osso-protesi nella componente tibiale della protesi. Diagnosi: infezione protesica.
Ragazzo di 12 anni con epifisiolisi della testa femorale (SCFE) sinistra acuta su cronica, esito di traumi ripetuti. Sottoposto a procedura chirurgica di Dunn modificata, lamenta dolore persistente a 3 giorni dall’intervento.
A causa del dolore persistente, è sorto il dubbio sulla vascolarizzazione della testa del femore post-intervento, motivo per cui è stata richiesta una scintigrafia ossea. Le immagini di flusso (a) hanno mostrato un lieve aumento della vascolarizzazione all’anca sinistra. La stessa regione ha mostrato un aumentato accumulo del tracciante nelle immagini statiche (b. 1) e whole-body anteriori di blood-pool (c). L’immagine statica tardiva dell’anca (b. 2) e l’immagine whole-body (d) hanno evidenziato un’aumentata attività del tracciante nella testa del femore sinistro e nell’acetabolo omolaterale. Le immagini sagittali (e) e assiali (f) hanno mostrato captazione del tracciante nella testa del femore sinistro, confermando così che la vascolarizzazione era intatta e che l’osso era vitale. Da notare la ridotta captazione del tracciante nel collo del femore sinistro, dovuta allo scollamento del periostio in tale regione.
Infezione di uno spacer in cemento inserito in seguito alla rimozione di una protesi di ginocchio. La foto a sinistra è relativa alla fase di arrivo vascolare, quella in mezzo la fase di blood pool, quella a destra alla fase tardiva. In tutte e 3 le fasi si nota accumulo del radiofarmaco a livello del ginocchio di sinistra.
Osteoma osteoide in un adolescente di 15 anni con dolore all’arto inferiore sinistro, accentuato durante la notte.
La scintigrafia ossea trifasica risulta positiva in tutte e tre le fasi a livello della tibia prossimale sinistra. Si apprezza iperafflusso vascolare, iperemia locale e l’inconfondibile segno della “doppia densità” nelle acquisizioni tardive.
Il nidus tumorale centrale (radiotrasparente alla TC, altamente vascolarizzato e metabolicamente attivo) corrisponde al “cuore” di ipercaptazione focale molto intensa in scintigrafia. L’osso sclerotico reattivo circostante (visibile come ispessimento denso alla TC) corrisponde all’alone di captazione più sfumata (la seconda “densità”) che circonda il focus centrale in scintigrafia.
Osteomielite in un uomo di 85 anni con vasculopatia periferica e amputazione transmetatarsale del I e II raggio del piede destro.
L’imaging tradizionale conferma lo stato anatomico post-chirurgico, evidenziando l’assenza dei primi due raggi metatarsali.
Lo studio dinamico e statico segmentario documenta una chiara positività in tutte e tre le fasi diagnostiche: Fase di flusso: iperafflusso vascolare distrettuale. Fase di blood-pool (pool ematico): iperemia focale nei tessuti molli del versante mediale. Fase tardiva: intensa fissazione osteometabolica a livello del moncone osseo.
La positività concordante e focale nelle tre fasi scintigrafiche, unita all’anamnesi di vasculopatia (che ostacola la guarigione tissutale e favorisce le sovrainfezioni), è un quadro classico e altamente indicativo di un processo infettivo acuto a carico dell’osso (osteomielite) nella sede dell’amputazione.
Analisi e interpretazione delle immagini
L’interpretazione della scintigrafia ossea è un processo complesso che integra dati qualitativi, semiquantitativi e, sempre più spesso, quantitativi.
Analisi qualitativa e pattern di captazione
Un esame normale mostra una captazione simmetrica dello scheletro, con aree di fisiologica ipercaptazione nelle articolazioni sottoposte a carico (spalle, ginocchia, caviglie) e nella regione maxillo-mandibolare per l’attività dentale.
Lesioni ipercaptanti (hot spots): indicano un aumento del turnover osseo o della vascolarizzazione. Le metastasi appaiono tipicamente come focolai multipli, intensi e distribuiti casualmente nello scheletro assiale;
lesioni ipocaptanti (cold spots): meno comuni ma clinicamente rilevanti, possono indicare aree di necrosi, cisti ossee, esiti chirurgici o metastasi puramente litiche (frequenti nel tumore del rene o della tiroide).
Scintigrafia scheletrica whole-body normale.
Scintigrafia ossea di un paziente con metastasi ossee da tumore prostatico.
Fratture costali.
La scintigrafia ossea whole-body in proiezione anteriore con 99mTc-MDP mostra ipercaptazione multifocale con distribuzione lineare a carico delle coste anteriori di destra. Questo allineamento verticale “a rosario” è il classico segno di un evento traumatico o microtraumatico che ha coinvolto più coste adiacenti. Un pattern lineare suggerisce trauma (benigno). Un pattern non lineare o sparso (random) è sospetto per metastasi e richiede approfondimento morfologico (TC). Una captazione focale (puntiforme) è generalmente benigna. Una captazione longitudinale (che si estende lungo l’asse della costa) è altamente sospetta per lesione maligna. Il riscontro di un’unica lesione costale isolata, senza altre aree di ipercaptazione nel resto dello scheletro, ha una bassa probabilità (~10%) di essere di natura metastatica.
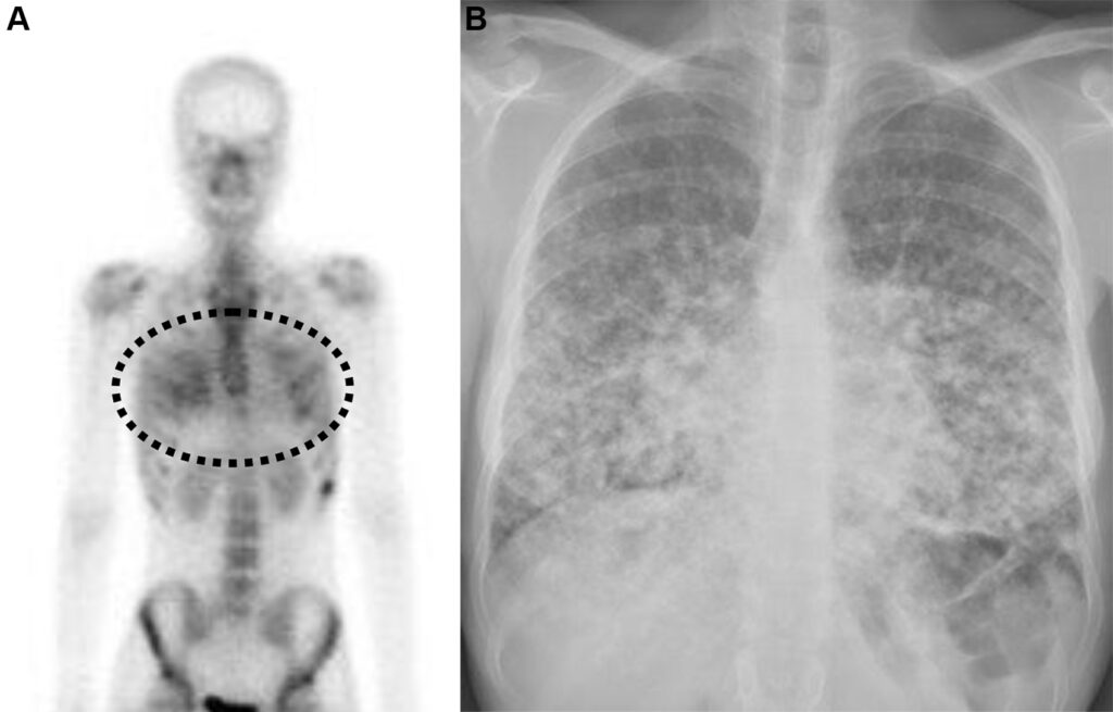
Metastasi costali e pleuriche con versamento pleurico in una donna di 63 anni con tumore al seno.
La scintigrafia ossea con 99mTc-MDP evidenzia una lieve ipercaptazione diffusa che ricalca l’emitorace destro, causata verosimilmente dall’accumulo di tracciante nel liquido pleurico maligno. È inoltre visibile una captazione longitudinale a carico dell’arco posteriore dell’XI costa destra. La TC conferma la natura della captazione, evidenziando il versamento pleurico, un ispessimento pleurico e le iniziali alterazioni osteosclerotiche a carico della costa interessata. Il caso dimostra come la scintigrafia ossea possa rilevare non solo le localizzazioni secondarie scheletriche dirette, ma anche segni indiretti di patologia extra-ossea adiacente (come la captazione pleurica).
Malattia metastatica con pattern miliare in una donna di 44 anni con carcinoma papillare della tiroide.
L’esame total body rileva una tenue ipercaptazione diffusa e simmetrica a livello di entrambi i campi polmonari. Si tratta di una captazione extra-ossea anomala del radiotracciante osteotropo. L’imaging morfologico dell’Rx conferma la presenza di una massiva disseminazione metastatica polmonare, caratterizzata da innumerevoli e minuscoli noduli bilaterali (il classico “pattern miliare”), più addensati alle basi. Il tecnezio difosfonato (99mTc-MDP) può accumularsi in lesioni metastatiche extra-ossee, come quelle polmonari derivanti da alcuni tumori (tra cui il carcinoma tiroideo, mammario o osteosarcoma). Questo fenomeno è spesso dovuto alla presenza di microcalcificazioni all’interno del tessuto neoplastico o ad alterazioni del metabolismo locale del calcio.
Carcinosi peritoneale e ascite in un uomo di 58 anni con carcinoma a cellule renali metastatico.
La scintigrafia ossea total body rileva un’anomala captazione extra-ossea a livello addominale. La distribuzione “a chiazze” (patchy) e diffusa del radiotracciante riflette il suo accumulo all’interno della cavità peritoneale.
L’imaging TC conferma la natura del reperto scintigrafico, documentando la presenza di ascite neoplastica e impianti nodulari solidi (carcinosi) a carico del mesentere e dell’omento.
Analogamente a quanto avviene per i versamenti pleurici, il tecnezio difosfonato può diffondere e accumularsi nei fluidi ascitici o all’interno dei noduli di carcinosi peritoneale. Questo fenomeno secondario è spesso legato all’aumentata permeabilità vascolare locale o alla presenza di microcalcificazioni nel tessuto tumorale.
Osteoma del seno frontale in un uomo di 69 anni con sindrome di Gardner.
Lo studio scintigrafico del distretto testa-collo evidenzia aree di intensa ipercaptazione focale (osso frontale destro, ossa mascellari e mandibola). Questo pattern è caratteristico per l’intensa attività osteoblastica tipica degli osteomi.
L’imaging morfologico TC conferma le aree di ipercaptazione come lesioni ossee estremamente dense e ben circoscritte (osteomi), localizzate in questo caso a livello del seno frontale destro.
La sindrome di Gardner è una variante fenotipica della Poliposi Adenomatosa Familiare (FAP). Si caratterizza per la triade clinica: polipi intestinali (ad altissimo rischio di trasformazione maligna), tumori ossei benigni (osteomi, quasi sempre cranio-facciali) e alterazioni dei tessuti molli (tumori desmoidi, cisti epidermiche). La scintigrafia ossea si rivela utile per mappare l’estensione delle manifestazioni scheletriche.
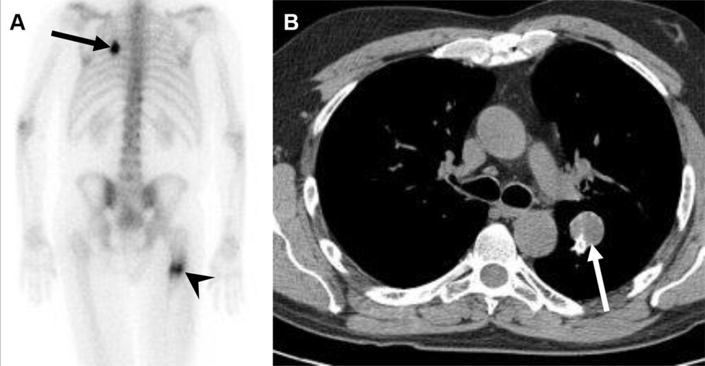
Metastasi da osteosarcoma in un uomo di 22 anni, a cui è stato recentemente diagnosticato un osteosarcoma del femore prossimale destro.
Oltre alla massiva e attesa ipercaptazione nella sede del tumore primitivo, lo studio whole-body rivela una captazione extra-ossea focale e intensa a livello dell’emitorace sinistro.
L’imaging morfologico conferma la presenza di un nodulo polmonare nel lobo superiore sinistro, caratterizzato da calcificazioni periferiche.
Le metastasi derivanti da tumori formanti osso, come l’osteosarcoma, mantengono la capacità osteogenica della lesione primaria. Esse producono matrice osteoide che calcifica, captando avidamente i radiotraccianti osteotropi (come il 99mTc-MDP) e rendendo le metastasi polmonari o dei tessuti molli ben visibili alla scintigrafia ossea.
Condrosarcoma in un uomo di 63 anni con dolore progressivo alla parte superiore del braccio sinistro.
L’esame scintigrafico total body evidenzia un’intensa ipercaptazione focale in corrispondenza della metafisi prossimale dell’omero sinistro. I tumori di derivazione cartilaginea (come i condrosarcomi) possono captare avidamente il radiotracciante in base al grado di ossificazione endocondrale, alla presenza di calcificazioni della matrice o alla reazione osteoblastica dell’osso adiacente.
La risonanza magnetica definisce l’anatomia della lesione, evidenziando una massa iperintensa nelle sequenze T2 a livello metafisario, circondata da edema reattivo nei tessuti molli o midollari perilesionali.
Sindrome di Maffucci in una donna di 25 anni.
L’esame scintigrafico total body evidenzia un’intensa ipercaptazione multifocale in corrispondenza delle aree ossee espanse, localizzate prevalentemente a livello epifisario e metafisario (specialmente a carico di arto superiore sinistro e arto inferiore destro).
La risonanza magnetica definisce nel dettaglio le lesioni della mano sinistra, identificando masse espansive (iperintense in T2) che corrispondono agli encondromi.
Diagnosi differenziale: sia la sindrome di Maffucci che la malattia di Ollier presentano encondromatosi multipla (con matrice cartilaginea che spesso calcifica assumendo aspetti ad “anello e arco” in TC o RX).
Il reperto dirimente per la sindrome di Maffucci è l’associazione degli encondromi con emangiomi dei tessuti molli (malformazioni vascolari che frequentemente sviluppano calcificazioni interne note come fleboliti).
Osteoartropatia Ipertrofica (HOA) in un uomo di 56 anni con noto tumore al polmone.
L’indagine scintigrafica evidenzia una caratteristica ipercaptazione lineare corticale lungo le diafisi delle ossa lunghe tubolari (e bilateralmente a livello zigomatico). Questo pattern simmetrico e periferico è noto come segno del “binario del tram” (tram-track sign).
L’imaging tradizionale conferma la base fisiopatologica del reperto scintigrafico, mostrando una reazione periostale (apposizione di nuovo osso lamellare) a livello metadiafisario.
L’osteoartropatia ipertrofica (che in questo caso rappresenta una sindrome paraneoplastica, spesso secondaria a tumori polmonari) è caratterizzata da una classica triade clinico-radiologica: periostite diffusa delle ossa lunghe, ippocratismo digitale (dita a bacchetta di tamburo) e manifestazioni artritiche/artralgiche. La scintigrafia ossea è estremamente sensibile nell’identificare l’attività periostale in fase precoce.
Mielofibrosi in un uomo di 63 anni con peggioramento dell’affaticamento e lieve dolore addominale.
L’esame scintigrafico total body evidenzia un’ipercaptazione diffusa a livello scheletrico, particolarmente intensa nelle regioni epifisarie delle ossa lunghe. Si nota inoltre un evidente dislocamento del rene sinistro verso il basso e medialmente. L’intensa captazione ossea globale può simulare un quadro di “superscan”.
L’imaging morfologico rivela la causa della dislocazione renale sinistra: una splenomegalia massiva, reperto classico dell’emopoiesi extramidollare compensatoria.
Nella mielofibrosi primaria o secondaria, la proliferazione fibrosa all’interno del midollo osseo è spesso accompagnata da una reazione osteosclerotica dell’osso trabecolare, che capta avidamente il radiotracciante osteotropo.
Malattia di Erdheim-Chester in un uomo di 47 anni con dolore osseo aspecifico.
La scintigrafia ossea whole-body evidenzia un’intensa ipercaptazione simmetrica e confluente a carico delle ossa lunghe (in particolare distretto dia-metafisario ed epifisario di ginocchia e caviglie). Come reperto incidentale, si osserva un ristagno di tracciante nel rene destro, indice di ostruzione delle vie urinarie.
La TC conferma una marcata osteosclerosi nelle medesime sedi ipercaptanti e la presenza di una massa tissutale infiltrante che avvolge simmetricamente i reni (aspetto a “cercine” o hairy kidney) e infiltra il mesentere. Questa fibrosi retroperitoneale spiega l’ostruzione dell’efflusso renale destro rilevata in scintigrafia.
La malattia di Erdheim-Chester è una rara istiocitosi non-Langerhans caratterizzata da una proliferazione sistemica di macrofagi. Il pattern di osteosclerosi simmetrica dia-metafisaria bilaterale delle ossa lunghe, associato all’infiltrazione perirenale, è considerato un quadro radiologico quasi patognomonico per questa patologia.
Sindrome di McCune-Albright (MAS) in un uomo di 32 anni con ingrossamento della volta cranica e macchie caffellatte.
L’esame total body evidenzia un’ipercaptazione multifocale del tracciante, di intensità variabile, in corrispondenza di aree ossee espanse (in questo caso localizzate prevalentemente a livello del cranio e del femore prossimale destro).
L’RX laterale del cranio conferma l’alterazione strutturale delle aree ipercaptanti craniche, mostrando il tipico aspetto “a vetro smerigliato” (ground-glass), che rappresenta il segno radiologico distintivo della displasia fibrosa.
La sindrome di McCune-Albright è una rara patologia genetica definita dalla presenza di una classica triade clinica: displasia fibrosa (spesso nella forma poliostotica, che coinvolge più segmenti ossei), iperpigmentazione cutanea (macchie caffellatte) ed endocrinopatie iperfunzionanti (storicamente pubertà precoce, ma anche ipertiroidismo o eccesso di ormone della crescita).
Sindrome di Mazabraud in un uomo di 38 anni con lieve dolore cronico alla parte superiore del braccio destro, con sospetto di displasia fibrosa.
La scintigrafia total body evidenzia un’intensa e persistente ipercaptazione disposta longitudinalmente lungo l’asse scheletrico dell’arto superiore destro (omero, avambraccio, fino al terzo dito). Questo pattern riflette l’estesa attività metabolica tipica del tessuto osseo displastico.
La Risonanza Magnetica conferma l’alterazione strutturale ossea (iperintensità di segnale in T2 a livello omerale, tipica della displasia fibrosa) e identifica il reperto patognomonico nei tessuti molli: una massa adiacente anch’essa iperintensa in T2, corrispondente a un mixoma intramuscolare.
La sindrome di Mazabraud è una rara entità clinica caratterizzata dall’associazione tra displasia fibrosa (più frequentemente nella sua variante poliostotica) e la comparsa di uno o più mixomi intramuscolari. I mixomi si sviluppano tipicamente nello stesso distretto anatomico (o in prossimità) delle lesioni ossee più estese.
Malattia di Paget in un uomo di 84 anni.
La scintigrafia ossea rileva un’intensa e massiva ipercaptazione a carico di più distretti scheletrici (bacino destro, vertebra L1 e femore sinistro). Il tracciante si distribuisce in modo confluente lungo segmenti ossei che appaiono ingranditi (ipertrofia o espansione ossea). A livello della vertebra L1 si apprezza una peculiare captazione a tre punti focali segno di “Topolino” (Mickey Mouse sign). Questa morfologia è data dall’intenso metabolismo a livello dei due peduncoli vertebrali (che simulano le orecchie) e del processo spinoso centrale (il muso). È un segno classico dell’interessamento vertebrale pagetico.
La malattia di Paget (osteite deformante) è un disordine focale del rimodellamento osseo, caratterizzato da un’eccessiva attività osteoclastica seguita da una disorganizzata e abnorme reazione osteoblastica. La scintigrafia ossea è la metodica di riferimento per determinare l’estensione sistemica della malattia (poliostotica in questo caso), in quanto capta avidamente nelle aree di elevato turnover metabolico.
Osteopetrosi in una donna di 45 anni.
L’esame scintigrafico rileva un’ipercaptazione in molteplici distretti scheletrici (omeri, femori, bacino e cranio). È inoltre ben visibile un’alterazione morfologica macroscopica con incurvamento (bowing) e ispessimento delle diafisi femorali.
L’imaging radiografico tradizionale conferma il quadro di grave osteosclerosi, evidenziando un marcato ispessimento delle corticali ossee che riduce progressivamente lo spazio della cavità midollare.
L’osteopetrosi (nota anche come malattia delle “ossa di marmo”) è una rara osteodisplasia genetica causata da un difetto nella funzione degli osteoclasti. L’incapacità di riassorbire il tessuto osseo porta a una densità scheletrica eccessiva (sclerosi). Tuttavia, la microarchitettura disorganizzata rende le ossa estremamente fragili e soggette a fratture. Inoltre, la progressiva obliterazione dello spazio midollare può portare a insufficienza emopoietica.
Meloreostosi in una donna di 50 anni.
La scintigrafia scheletrica evidenzia un’ipercaptazione focale asimmetrica con una marcata distribuzione longitudinale a carico della tibia destra.
L’accumulo lineare e irregolare del radiotracciante lungo un solo versante dell’osso rappresenta il corrispettivo metabolico e funzionale della tipica sclerosi corticale che, nelle radiografie tradizionali, appare proprio come la cera colata lungo una candela segno della “cera fusa” (dripping candle wax sign).
La meloreostosi è una rara displasia ossea sclerosante ad andamento benigno. La proliferazione ossea anomala (iperostosi) interessa la corticale e si estende lungo l’asse maggiore dell’osso, potendo causare nel tempo sintomatologia dolorosa, limitazione funzionale e rigidità delle articolazioni adiacenti.
Necrosi avascolare in una donna di 22 anni con anemia falciforme e dolore osseo multifocale ricorrente.
Captazione disomogenea (“a chiazze”) a livello delle epifisi, espressione dei processi di necrosi ischemica ossea (e successiva riparazione) conseguenti alle crisi vaso-occlusive. Si evidenzia inoltre accumulo anomalo del tracciante nell’ipocondrio sinistro. Questo reperto è il segno clinico dell’autoinfarto splenico (milza funzionalmente asplenica e calcificata/sclerotica), una complicanza cronica classica dell’anemia falciforme.
La risonanza magnetica documenta il patognomonico segno della “doppia linea” (double-line sign) a carico del ginocchio nelle sequenze T2. La linea interna (iperintensa) corrisponde al tessuto di granulazione iperemico di riparazione, mentre la linea esterna (ipointensa) rappresenta il vallo di osso sclerotico che delimita la necrosi dall’osso sano.
Segno della “testa di toro” (Bull’s head sign) in un uomo di 36 anni con sindrome SAPHO.
L’esame mirato alla porzione superiore del torace evidenzia un’intensa ipercaptazione infiammatoria/osteometabolica a livello dell’articolazione sterno-costo-clavicolare (manubrio sternale e porzione mediale di entrambe le clavicole). La distribuzione anatomica dell’accumulo del tracciante in questa specifica regione assume una morfologia suggestiva chiamata segno della “Testa di Toro”: l’ipercaptazione del manubrio dello sterno rappresenta il “muso” o cranio del toro, mentre il coinvolgimento simmetrico delle clavicole mediali ne simula le “corna”.
La sindrome SAPHO è un acronimo che raggruppa una complessa entità clinica caratterizzata da Sinovite, Acne, Pustolosi, Iperostosi e Osteite. L’interessamento della parete toracica anteriore è uno dei reperti osteoarticolari più frequenti e patognomonici di questa patologia, rendendo la scintigrafia ossea uno strumento diagnostico di primo livello.
Ipofosfatemia legata all’X in una donna di 51 anni con dolore cronico alla gamba destra.
L’esame scintigrafico rileva una netta ipercaptazione focale a livello della porzione media della diafisi femorale destra. L’intensità e la localizzazione del reperto pongono il forte sospetto di un evento fratturativo.
L’imaging radiografico mirato conferma il sospetto metabolico-funzionale, documentando chiaramente l’interruzione della continuità ossea (frattura diafisaria) a carico del femore destro.
L’ipofosfatemia legata all’X è una malattia genetica rara che causa un’alterata e deficitaria mineralizzazione dell’osso. L’espressione clinica varia con l’età. Nell’età pediatrica si ha un quadro simil-rachitico, con svasamento delle metafisi (ex cartilagini di accrescimento) e deformità da carico degli arti inferiori (come il ginocchio varo). Nell’età adulta il difetto di mineralizzazione esita in osteomalacia, rendendo l’osso estremamente debole e predisponendo i pazienti a fratture patologiche, pseudofratture (le cosiddette strie o zone di Looser) e a una degenerazione osteoartrosica precoce.
Sindrome da Dolore Regionale Complesso (CRPS) in una donna di 33 anni con dolore persistente alla mano destra, insorto 4 mesi dopo un incidente stradale.
L’acquisizione statica mirata sulle mani rileva una marcata ipercaptazione a livello periarticolare (carpo e articolazioni interfalangee). Il reperto fondamentale è la netta asimmetria della distribuzione del tracciante, con iperattività a carico del lato sintomatico.
La CRPS (nota storicamente anche come algodistrofia o sindrome di Sudeck) è una patologia neuro-infiammatoria complessa che frequentemente fa seguito a un trauma. L’asimmetria dell’ipercaptazione periarticolare nella fase tardiva della scintigrafia è il segno dirimente. Questo pattern permette di differenziare la CRPS da patologie reumatologiche sistemiche (come l’artrite reumatoide o altre artriti infiammatorie), che si presenterebbero invece con un quadro di ipercaptazione tipicamente bilaterale e simmetrico.
Fratture sacrali da insufficienza in una donna di 82 anni con osteoporosi e lombalgia cronica.
La scintigrafia ossea in proiezione posteriore mirata alla pelvi, evidenzia una netta e simmetrica ipercaptazione a livello dell’osso sacro. Il radiotracciante si distribuisce lungo due bande verticali (corrispondenti alle ali sacrali fratturate) unite da una banda orizzontale trasversale (corrispondente al promontorio sacrale). Questa morfologia ad “H”, che ricorda il logo della nota casa automobilistica, segno di “Honda” (Honda sign) è un segno classico e altamente specifico per questo tipo di lesione.
La TC con ricostruzione coronale conferma visivamente il danno strutturale, mostrando le evidenti rime di frattura verticali a carico del sacro indebolito.
Le fratture da insufficienza si verificano quando uno stress meccanico normale (fisiologico) viene applicato a un osso con resistenza elastica o contenuto minerale ridotti (come nell’osteoporosi grave). Il sacro è una delle sedi più tipiche, e la scintigrafia ossea è estremamente sensibile nell’individuarle anche quando le radiografie tradizionali risultano negative.
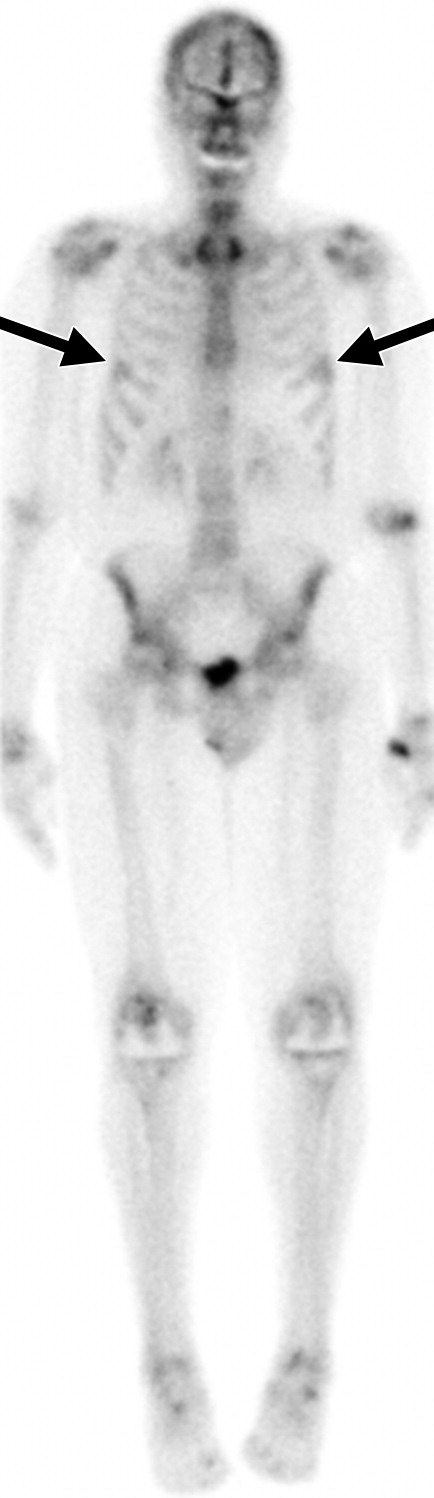
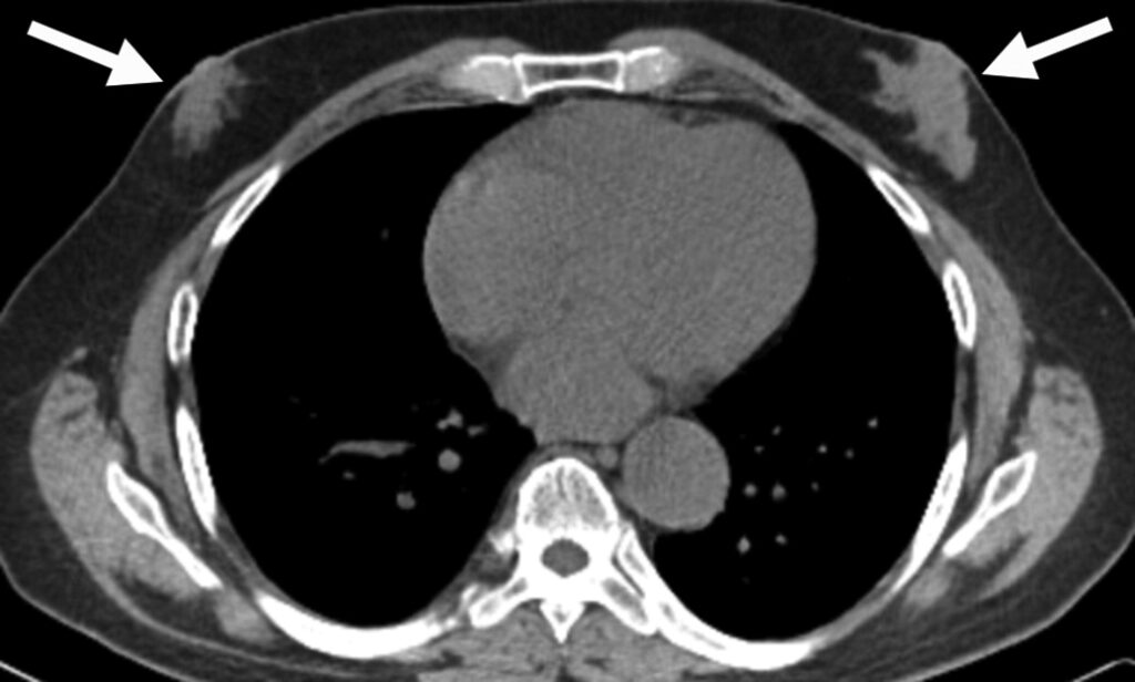
Periostite indotta da voriconazolo in una donna di 62 anni con linfoma a cellule T che ha sviluppato una coccidioidomicosi polmonare.
L’esame scintigrafico evidenzia un’ipercaptazione diffusa ma asimmetrica a carico del periostio, con un pattern misto (lineare sulle ossa lunghe, a chiazze sulle coste e globulare a livello ischiatico).
La TC del torace conferma la base fisiopatologica del reperto funzionale, documentando un’intensa (“florida”) apposizione di nuovo osso periostale a carico degli archi costali destri.
La periostite indotta da voriconazolo è una complicanza scheletrica ben documentata e dolorosa che può insorgere in pazienti sottoposti a terapie prolungate con questo farmaco antifungino. Poiché il voriconazolo contiene fluoro, l’accumulo cronico può determinare una fluorosi iatrogena, stimolando un’abnorme reazione osteoblastica periostale. La scintigrafia ossea è lo strumento d’elezione per mappare l’estensione dell’interessamento scheletrico sistemico.
Displasia diafisaria progressiva (malattia di Camurati-Engelmann).
La scintigrafia evidenzia un’ipercaptazione marcatamente simmetrica e bilaterale a carico esclusivo delle diafisi delle ossa lunghe e della volta cranica. Il reperto funzionale chiave per la diagnosi differenziale è il netto “risparmio” (assenza di patologia) delle regioni metafisarie ed epifisarie.
L’imaging tradizionale conferma e spiega il quadro metabolico: si osserva una grave sclerosi con ispessimento della corticale ossea (iperostosi sia endostale che periostale) confinata alle diafisi. Questo rimodellamento anomalo causa un paradosso anatomico: l’allargamento del diametro osseo esterno accompagnato da un severo restringimento dello spazio midollare interno.
La displasia diafisaria progressiva (nota come malattia di Camurati-Engelmann) è una rara osteodisplasia genetica a trasmissione autosomica dominante. L’iperostosi progressiva delle ossa lunghe e del cranio si manifesta clinicamente con dolore osseo severo, debolezza muscolare, facile affaticabilità e disturbi dell’andatura.
Analisi quantitativa
L’avanzamento tecnologico permette oggi di superare la valutazione puramente visiva:
SUV (Standardized Uptake Value): l’uso del SUV nella SPECT/CT permette di quantificare l’avidità di un radiofarmaco da parte di una lesione. Studi indicano che un SUVmax superiore a 26.58 g/mL è altamente specifico per la natura maligna di una lesione ossea;
Bone Scan Index (BSI): calcolato tramite software automatizzati, il BSI esprime il carico tumorale come percentuale della massa scheletrica totale. Un BSI elevato alla diagnosi correla con una ridotta sopravvivenza globale nel cancro alla prostata;1213
Sacroiliac Index (SII): rapporto tra l’attività delle articolazioni sacroiliache e quella del sacro. Valori superiori a 1.17-1.19 sono indicativi di sacroileite attiva.
Bone Scan Index
A) Il BSI valuta l’estensione della captazione patologica in ogni singolo segmento osseo in rapporto a un modello anatomico standard (“reference man“). La somma di questi valori fornisce l’indice globale. Le metastasi del carcinoma prostatico si localizzano tipicamente nelle aree ricche di midollo rosso attivo, che costituiscono circa il 40% dell’intera massa scheletrica. Il BSI offre un dato numerico oggettivo per monitorare nel tempo l’andamento clinico. B) La percentuale di massa scheletrica totale coinvolta dal tracciante progredisce dallo 0%, allo 0,59%, al 7,7% e, a seguito del trattamento, scende al 5,4%.
Le immagini illustrano 6 approcci per valutare il SII.
Scintigrafia planare (metodi 1-4): calcolo del rapporto di captazione tramite ROI rettangolari globali (1), irregolari anatomiche (2), a profilo grafico orizzontale (3) o rettangolari suddivise in metà superiore/inferiore (4). SPECT (metodo 5): valutazione qualitativa (visual scoring) che confronta visivamente l’intensità delle articolazioni sacro-iliache rispetto al sacro (minore, uguale o maggiore). SPECT/TC (metodo 6 – immagini assiali): analisi quantitativa 3D tramite VOI. L’integrazione delle metodiche tomografiche (metodi 5 e 6) aggiunge valore e precisione quantitativa rispetto alle sole tecniche planari.
Donna di 47 anni con carcinoma neuroendocrino polmonare in stadiazione pre-trattamento.
L’imaging funzionale ha rilevato una chiara ipercaptazione patologica alla vertebra L5, caratterizzata da un elevato valore quantitativo (SUVmax = 45.41). Tuttavia, l’imaging morfologico (TC) iniziale era completamente negativo, non mostrando alterazioni strutturali dell’osso (C).
A distanza di tempo, l’esame TC di controllo ha documentato l’insorgenza di reazione osteoblastica (sclerosi) esattamente nello stesso punto segnalato dalla SPECT/TC mesi prima (E).
Questo caso “vero positivo” dimostra l’eccellente sensibilità dell’imaging scintigrafico (e in particolare della SPECT/TC quantitativa) nell’identificare micrometastasi o lesioni ossee in fase estremamente precoce, con largo anticipo rispetto alla comparsa dei segni morfologici visibili alla radiologia tradizionale.
Uomo di 70 anni con carcinoma adenosquamoso polmonare in stadiazione pre-trattamento.
L’imaging scintigrafico e SPECT/TC ha rilevato un’ipercaptazione focale a livello dell’osso iliaco destro (SUVmax = 15.60), corrispondente ad un’area di sclerosi ossea alla TC di natura non univoca (2,6 x 1,6 cm, densità media di 650 HU).
Nonostante la malattia di base sia andata in progressione sistemica (comparsa di metastasi al fegato e alla vertebra L1), la lesione iliaca è rimasta morfologicamente e densitometricamente stabile ad oltre un anno di distanza (dimensioni invariate, densità di 648 HU).
Questo caso “vero negativo” illustra un tipico pitfall diagnostico. La stabilità dimensionale e densitometrica (espressa in Unità Hounsfield) nel tempo conferma che l’area osteosclerotica ipercaptante non era una metastasi, ma una lesione ossea benigna (probabilmente un’isola ossea o enostosi).
Uomo con mCRPC, valutato pre- e post-terapia.
Il Bone Scan Index viene utilizzato per quantificare visivamente (in rosso) e numericamente il carico tumorale (tumor burden) a livello scheletrico, confrontando l’esame basale con quello di follow-up.
Le immagini documentano un evidente aumento delle lesioni metastatiche nel tempo. Questo si traduce in un marcato incremento del valore del BSI nonostante l’approccio terapeutico (deprivazione androgenica).
L’analisi quantitativa conferma che un “delta” (variazione) elevato del BSI in aumento è un marker sfavorevole, strettamente correlato a una prognosi peggiore e a una ridotta sopravvivenza globale.
Fissazione nei tessuti molli e casi particolari
La presenza di radiofarmaco al di fuori delle ossa (extraosseous uptake) deve essere sempre analizzata. Meccanismi come la calcificazione distrofica o la necrosi tissutale possono causare captazione accidentale.14
Un’applicazione clinica specifica è la diagnosi di amiloidosi cardiaca transtiretina-correlata (ATTR). I difosfonati (HDP o DPD) si legano ai depositi di amiloide nel miocardio. La gravità viene valutata tramite lo score di Perugini.
Grado score di Perugini
Descrizione della captazione miocardica
Grado 0
Assenza di captazione cardiaca
Grado 1
Captazione cardiaca inferiore a quella delle coste
Grado 2
Captazione cardiaca uguale a quella delle coste
Grado 3
Captazione cardiaca superiore a quella delle coste (segnale osseo attenuato)
L’analisi semiquantitativa tramite il rapporto Cuore/Contro-Laterale (H/CL) con un cut-off di 1.37-1.40 supporta ulteriormente la diagnosi.
Uomo di 75 anni con tumore alla prostata.
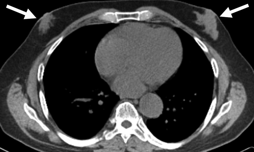
L’immagine planare whole-body in proiezione anteriore della scintigrafia ossea mostra due foci di captazione nella parte inferiore del torace (frecce), sovrapposti alle coste anteriori, inizialmente ritenuti localizzati nelle coste stesse.
L’acquisizione tomografica ibrida risolve definitivamente l’ambiguità spaziale creata dall’immagine planare. Le fette assiali dimostrano che i due focolai di ipercaptazione risiedono nei tessuti molli superficiali sovrastanti le coste, localizzandosi esattamente nel tessuto mammario retroareolare bilaterale.
La captazione simmetrica a livello mammario in un paziente di sesso maschile trattato per neoplasia prostatica è indicativa di ginecomastia indotta da farmaci. L’ipertrofia benigna della ghiandola (che capta il radiotracciante in via extra-ossea) è un ben noto effetto collaterale della terapia di deprivazione androgenica (o della terapia estrogenica).
Uomo con tumore alla prostata e presunta amiloidosi cardiaca.
Sia l’acquisizione planare che lo studio tomografico ibrido (SPECT/TC) documentano un’intensa e inequivocabile captazione del radiotracciante osteotropo a livello del muscolo cardiaco. Il pattern di distribuzione globale e diffuso a tutto il miocardio è l’elemento chiave. Questo aspetto permette di escludere altre patologie cardiache che causerebbero una captazione focale o regionale, come l’infarto acuto del miocardio (dove l’accumulo avviene nell’area necrotica), o processi infiammatori come pericardite, sarcoidosi e miocardite.
La ritenzione miocardica dei difosfonati del tecnezio è un segno altamente sensibile e specifico per l’amiloidosi cardiaca, in particolar modo per la forma da accumulo di transtiretina (ATTR). In questo contesto, l’esame eseguito per la patologia oncologica di base si trasforma in uno strumento fondamentale per confermare questa severa condizione sistemica concomitante.
Perugini Score visivo rispettivamente sulle immagini total body, sulle immagini statiche planari e sulle immagini tomografiche assiali.
Il Perugini Score è un sistema di valutazione visiva semiquantitativa utilizzato in diagnostica radiometabolica (con traccianti osteotropi come 99mTc-DPD, HMDP o PYP) per classificare l’entità della captazione miocardica. È il gold standard non invasivo per la diagnosi di amiloidosi cardiaca da transtiretina (ATTR).
Le immagini planari (Total Body e statiche): offrono una panoramica generale e permettono il confronto visivo diretto tra l’area cardiaca e lo scheletro.
Le immagini tomografiche assiali (SPECT o SPECT/TC): sono dirimenti per confermare che la captazione risieda effettivamente nel miocardio (soprattutto nel miocardio ventricolare), escludendo falsi positivi dovuti a residui di tracciante nel blood-pool (pool ematico intracavitario), sovrapposizioni costali o patologie pleuro-polmonari.
Metodi di quantificazione dell’uptake miocardico nell’amiloidosi cardiaca.
Immagini planari total body in proiezione anteriore che illustrano diverse metodiche di posizionamento delle ROI per l’analisi quantitativa della captazione. (A) ROI cardiaca (rossa), ROI sugli organi escretori (reni e vescica, verdi) all’interno di una ROI total body rettangolare. (B) Disposizione simile alla A, ma con la ROI total body sagomata in modo preciso sul profilo del paziente. (C) ROI cardiaca (rossa) e ROI pelvica (blu) per il calcolo del rapporto Cuore/Pelvi. (D) ROI cardiaca (rossa) e ROI sulla teca cranica (quadrato blu) per il calcolo del rapporto Cuore/Cranio (Heart-to-Skull ratio). (E, F) ROI cardiaca posizionata sull’emitorace sn (rossa) e ROI circolare speculare sull’emitorace destro (nera) per il calcolo del rapporto Cuore/Controlaterale (Heart-to-Contralateral ratio, H/CL). Nel pannello E sono tracciate ulteriori piccole ROI addominali per la stima del fondo tissutale (background).
Il superscan
In presenza di un coinvolgimento metastatico o metabolico massivo, lo scheletro può captare quasi tutto il radiofarmaco iniettato. In queste immagini, lo scheletro appare molto contrastato, ma i reni e la vescica sono assenti (faint kidneys).
Se il clinico non nota l’assenza di attività renale, può erroneamente interpretare l’esame come normale o addirittura di eccellente qualità, trascurando una patologia gravissima.
Ragazzo di 17 anni affetto da malattia renale cronica e rachitismo con grave deformità agli arti inferiori e sintomatologia algica articolare (ginocchia e caviglie). È stata eseguita una scintigrafia ossea con 99mTc-MDP. Le immagini whole-body tardive hanno mostrato un diffuso e marcato aumento della captazione del tracciante nell’intero scheletro. Si osserva un’associata e significativa riduzione dell’attività di fondo nei tessuti molli e la mancata visualizzazione di reni e vescica (la fisiologica via escretrice). Questi reperti indicano un’avida captazione del tracciante da parte del comparto osseo. Il quadro scintigrafico è suggestivo di “superscan” secondario a causa metabolica (malattia renale cronica).
Osteodistrofia renale in un uomo di 47 anni con diabete scompensato e ipertensione
Le scintigrafie ossee whole-body in proiezione anteriore e posteriore evidenziano un quadro classico di “superscan” metabolico. Si osserva un’ipercaptazione scheletrica diffusa, simmetrica e generalizzata. L’avida captazione da parte dell’osso sottrae il tracciante al resto del corpo, determinando una visualizzazione quasi assente (o estremamente debole) del background nei tessuti molli e, soprattutto, dell’apparato escretore (reni e vescica).
L’osteodistrofia renale è un’alterazione del metabolismo osseo secondaria alla malattia renale cronica (spesso guidata dall’iperparatiroidismo secondario). Il marcato e generalizzato aumento del turnover e del rimodellamento osseo giustifica l’elevata fissazione del tecnezio difosfonato in tutto lo scheletro. A differenza del superscan metastatico (che spesso risparmia le porzioni distali degli arti e il cranio), il superscan metabolico tende a coinvolgere lo scheletro in modo molto più uniforme, cranio compreso.
Superscan in un uomo di 68 anni con cancro alla prostata.
(A) Le scintigrafie ossee whole-body in proiezione anteriore e posteriore con 99mTc-MDP mostrano una captazione diffusa nello scheletro assile e appendicolare prossimale, con una captazione nei tessuti molli e renale significativamente ridotta rispetto all’assorbimento scheletrico, compatibile con un aspetto in “superscan” secondario a diffuse metastasi osteoblastiche. (B) L’immagine TC dell’addome con ricostruzione coronale mostra diffuse metastasi ossee sclerotiche che coinvolgono il rachide lombare, il bacino e i femori prossimali. La malattia metastatica può manifestarsi in modo variabile, spaziando da lesioni blastiche a litiche e da lesioni solitarie a multifocali.
Sorgenti d’errore e artefatti tecnici
La consapevolezza dei limiti della tecnica è essenziale per evitare interpretazioni errate.
Artefatti radiocromatografici e di somministrazione
tecnezio libero (99mTcO4−): se il radiofarmaco non è marcato correttamente, il tecnezio libero si accumula nello stomaco, nella tiroide e nelle ghiandole salivari, interferendo con la visualizzazione dello sterno o della colonna cervicale;
stravaso (extravasation): l’iniezione parzialmente fuori vena causa un accumulo intenso nel sito d’iniezione e può mostrare linfonodi captanti lungo il braccio, riducendo la quantità di tracciante che raggiunge lo scheletro;
glove phenomenon (fenomeno del guanto): un’iniezione arteriosa accidentale causa un aumento della captazione in tutto il distretto distale (es. l’intera mano), simulando una patologia vascolare o infiammatoria.
Segno del guanto
La scintigrafia ossea mostra un accumulo del radiotracciante nell’estremità distale dell’arto superiore sinistro, reperto compatibile con un’iniezione intra-arteriosa del tracciante.
Pertecnetato libero
La scintigrafia ossea mostra un’anomala distribuzione della captazione del tracciante nello stomaco (punta di freccia) e nella tiroide (freccia).
Artefatti legati al paziente e tecnici
contaminazione urinaria: gocce di urina sulla cute o sugli indumenti possono creare falsi hot spot nel bacino. La lateralizzazione o la persistenza del reperto dopo il lavaggio aiuta a riconoscerli;
attenuazione da metalli: protesi, pacemaker, o semplici monete nelle tasche assorbono i fotoni emessi dal corpo, creando “buchi” o aree di ipocaptazione artificiale;
movimento: il movimento del paziente durante l’acquisizione SPECT o Total Body causa sfocatura delle immagini, rendendo inaffidabile l’analisi quantitativa come il calcolo del SUV.
Refertazione e conclusioni
Caricamento….
Il referto finale rappresenta l’atto medico di sintesi. Deve essere chiaro, conciso e strutturato (synoptic reporting), includendo i parametri tecnici (dose, intervallo di tempo), il confronto con studi precedenti e una conclusione che risponda direttamente al quesito clinico.
L’uso di termini gergali come “difetto” o “fotopenia” dovrebbe essere evitato a favore di descrizioni fisiologiche standardizzate.
In conclusione, la scintigrafia ossea, pur essendo una tecnica storica, continua a reinventarsi attraverso l’imaging ibrido SPECT/CT e la quantificazione. La sua capacità unica di riflettere la fisiologia ossea la rende un pilastro insostituibile nella medicina moderna, capace di integrare la precisione anatomica della radiologia con la sensibilità metabolica della medicina nucleare per una diagnosi precoce e una terapia sempre più personalizzata.