
Lo pneumotorace consiste nella presenza di aria nella cavità pleurica (o spazio pleurico) che può provenire dall’ambiente esterno o dalle vie aeree del polmone, le quali si rompono e permettono il passaggio dell’aria nello spazio pleurico.
In seguito all’entrata di aria i foglietti pleurici si separano, viene persa la pressione negativa dello spazio pleurico e il polmone sottostante collassa provocando dolore per irritazione delle terminazioni nervose della pleura parietale.
Meccanismi e classificazione
L’aria può entrare dall’esterno (trauma nella parete toracica, ferite da arma bianca, ferite di proiettile) o dalle vie aeree (rottura di un alveolo polmonare, cavità dilatata di un polmone collegato ad un bronco) e la sintomatologia inizia con dispnea e dolore pleurico.
Lo pneumotorace può essere classificato inoltre in indotto, se è prodotto da agenti esterni, traumi o lesioni iatrogene (drenaggio pleurico drenato in maniera sbagliata colpendo una via centrale come la succlavia o toccando la pleura), o spontaneo se non esistono agenti esterni.
Lo pneumotorace spontaneo può essere classificato in:
- primario: senza malattia polmonare apparente, normalmente in pazienti giovani e magri, alti e sportivi. Questi presentano bolle e aumento della porosità pleurica viscerale, con un minore spessore della parete che permette quindi un miglore passaggio dell’aria.
- secondario: con presenza di malattia polmonare preesistente (BPCO, enfisema). Le bolle in questo caso sono più grandi e lasciano spazi vuoti.
Tipi di pneumotorace
Lo pneumotorace può essere di tre tipi: chiuso, aperto e a valvola.
Nello pneumotorace chiuso l’entrata di aria non è in forma continua (per esempio per rottura di una bolla) e colpisce in genere la porzione superiore, non collassa il polmone intero, ma solo una parte.
L’aria non continua ad entrare a causa del collasso, in questo modo lo pneumotorace può risolversi sponaneamente e chiudersi dopo che entra una piccola quantità di aria.
Questo è lo pneumotorace più frequente e funzionalmente ha un comportamento simile al versamento pleurico: si produce un collasso polmonare, un’alterazione del rapporto ventilazione/perfusione (V/Q) e uno spostamento mediastinico verso il lato sano per il cambio della pressione pleurica da negativa a positiva.
Nello pneumotorace aperto l’aria entra ed esce dalla pleura: si apre uno spazio all’esterno della parete toracica che rimane sempre aperto. E’ tipico degli incidenti stradali e si produce:
- alterazione grave della funzione respiratoria e circolatoria;

- oscillamento mediastinico, nel quale vi è uno spostamento verso il lato sano durante l’inspirazione e verso la ferita durante l’espirazione. La ragione di questi movimenti è che durante l’ispirazione entra l’aria dall’orifizio della parete toracica ed aumenta la pressione nell’emitorace, quindi il mediastino si muove verso il lato sano, dove la pressione è minore, mentre durante l’espirazione l’aria esce dall’orifizio per inversione delle pressioni e perciò si avrà anche uno spostamento del mediastino.
Il movimento del mediastino colpisce anche le vene cava e polmonari, impedendo il ritorno venoso al cuore e producendo un problema circolatorio, comportando una diminuzione della gittata cardiaca. - passaggio di aria da un polmone all’altro. Durante l’inspirazione l’aria entra attraverso la ferita dell’emitorace lesionato e attraverso le vie aeree per raggiungere il polmone non collassato per invertirsi durante l’espirazione. Tutto questo avviene rispettando le differenze di pressione. Dalla ferita entra aria durante l’inspirazione ed esce durante l’espirazione. Dalle vie aeree, durante l’inspirazione, l’aria entra dall’ambiente esterno al polmone sano generando una pressione negativa che fa sì che anche l’aria contenuta nel polmone collassato si diriga al polmone sano. Durante l’espirazione, parte dell’aria viene espulsa all’esterno dalle vie aeree, un’altra parte entra nel polmone collassato.
L’aria che si sposta tra i due polmoni non cambia, per cui non è utile ai fini della respirazione.
Nello pneumotorace a valvola o ipertensivo, l’orifizio da cui entra l’aria funziona come una valvola (durante l’inspirazione entra l’aria, però, durante l’espirazione, la grande pressione fa sì che l’orifizio si chiuda) permettendo l’entrata di aria nella pleura durante l’inspirazione, ma non la sua uscita.
A causa di ciò, l’aria si accumula e può provocare un estremo aumento di pressione (da qui la definizione “ipertensivo”) che si può risolvere solo tramite l’apertura di un foro che permette l’uscita di aria.
Manifestazioni cliniche ed esplorazione
Quando si ha pneumotorace quello che accade è un abolizione delle vibrazioni vocali e delle murmore vescicolari, timpanismo alla percussione e iperclarità radiologica.

Il dolore di tipo pleurico e la dispnea appaiono subito, accompagnati dall’aumento del volume dell’emitorace coinvolto e dalla riduzione della mobilità. All’ispezione si può vedere un’emitorace rigonfio perché ha perso la capacità di retrazione sulla parete costale verso il polmone collassato.
Inoltre si ha uno spostamento dell’itto della punta, timpanismo e assenza dei rumori respiratori.
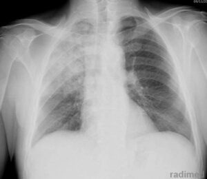
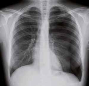
Da un punto di vista radiologico si apprezza iperchiarità dell’aria, il moncone di polmone e la deviazione del mediastino.
Negli pneumotoraci piccoli (per esempio quelli dovuti a forature della vena succlavia o a biopsie del parenchima polmonare attraverso un bronco), se entra poca aria, essa può riassorbirsi da sola. Quando ciò non succede, bisogna ricorrere ad un tubo toracico affinché si riespanda il polmone.
Fonte: Malattie dell’apparato respiratorio. Pneumologia e chirurgia toracica.





