Il melanoma cutaneo rappresenta il 5% di tutti i tumori maligni e la sua incidenza è aumentata negli ultimi anni. Il melanoma è aggressivo a causa della sua capacità di metastatizzare nelle fasi iniziali della malattia. Una diagnosi precoce è essenziale per una prognosi migliore. L’American Joint Committee on Cancer (AJCC) ha proposto una scala a quattro stadi (I, II, III, IV). La PET/CT con FDG può avere un ruolo in alcune fasi della storia naturale del melanoma.
Stadiazione negli Stadi AJCC (I e II)
Il metodo di scelta per stadiare lo stato dei linfonodi nei pazienti con melanoma è la biopsia del linfonodo sentinella. Il valore della PET/CT con FDG nella rilevazione del coinvolgimento linfonodale nel melanoma è limitato dalla bassa sensibilità. La PET/CT con FDG ha mostrato una buona accuratezza nella rilevazione delle lesioni a distanza; tuttavia, la probabilità di metastasi a distanza nelle fasi iniziali è molto bassa, quindi l’uso della PET/CT con FDG dovrebbe essere riservato a casi selezionati.
Stadiazione negli Stadi AJCC (III e IV)
La PET/CT con FDG ha un ruolo nella rilevazione delle lesioni a distanza negli stadi III o IV e si comporta meglio rispetto all’immaging convenzionale. La PET/CT con FDG ha mostrato una sensibilità che varia tra l’80% e il 100%. Inoltre, può cambiare lo stadio iniziale in una proporzione significativa di pazienti e in una piccola percentuale di casi può anche portare a un cambiamento nella gestione clinica. Secondo questi buoni risultati, una PET/CT con FDG pre-terapia può essere suggerita in molti pazienti ad alto rischio per la presenza di lesioni a distanza.
La PET/CT con FDG ha un ruolo importante nella rilevazione del melanoma recidivante. In questa applicazione, la PET ha mostrato un’accuratezza che varia dal 70% al 100%. La principale limitazione della PET è la bassa sensibilità nella rilevazione delle lesioni cerebrali, quindi una TC o una RM cerebrale dovrebbe sempre essere aggiunta al flusso diagnostico di questi pazienti. Infine, come per altri tumori solidi, la PET/CT con FDG può essere utilizzata per valutare la risposta al trattamento e correlare la risposta metabolica alla sopravvivenza libera da malattia e alla sopravvivenza globale.
In conclusione, la PET/CT con FDG può essere uno strumento utile nella stadiazione del melanoma con fattori di alto rischio per metastasi a distanza. Può essere utile per rilevare recidive o ristadiare la malattia e, infine, può essere utilizzata per valutare la risposta alla chemioterapia o all’immunoterapia.
Esempi pratici
Ristadiazione di un melanoma vulvare avanzato.
La scansione PET/CT a corpo intero è fortemente suggerita negli stadi avanzati. In questo caso si hanno diverse aree di aumento dell’assorbimento a livello locale, nelle ossa, nei polmoni e nel fegato.
Ristadiazione di melanoma avanzato dopo trattamento locale.
La scansione PET-FDG dovrebbe preferibilmente essere eseguita total-body perché il melanoma può diffondersi a tutte le parti del corpo. In questo caso si osservano diverse aree di aumentato assorbimento nella regione testa-collo, nel fegato e nei noduli sottocutanei.
Ristadiazione di melanoma avanzato dopo trattamento locale.
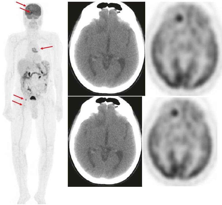
Di solito, la scansione PET-FDG ha un valore limitato per la rilevazione delle lesioni secondarie cerebrali; tuttavia, l’elevato assorbimento delle lesioni da melanoma consente di rilevare anche le metastasi cerebrali. Va sottolineato che la risonanza magnetica (RM) rimane il metodo elettivo per la valutazione delle lesioni cerebrali.
PET di follow-up in paziente con melanoma dorsale post-chirurgia. Lesioni ipermetaboliche dei tessuti molli nella regione paravertebrale, lombare e nei glutei (frecce rosse su MIP), nei linfonodi ascellari e addominali (b) e nel fegato (a).
Il melanoma cutaneo può diffondersi localmente, regionalmente e a distanza. I protocolli di routine basati su esami clinici e valutazioni radiologiche tradizionali non sono efficaci in termini di costi per la rilevazione della malattia sistemica. Nell’ultimo decennio, le tecniche di medicina nucleare, come la mappatura linfatica diretta dalla linfoscintigrafia con linfadenectomia del linfonodo sentinella e la PET, hanno svolto ruoli chiave nella stadiazione nodale e a distanza del melanoma.
Ristadiazione di melanoma dopo immunoterapia.
Diverse aree di aumento dell’assorbimento dovute a melanoma avanzato disseminato prima (a) e dopo l’immunoterapia (b).
Il ruolo della PET-FDG per la valutazione della risposta nei pazienti trattati con immunoterapia è in fase di studio. La PET-FDG sembra essere uno strumento promettente per la valutazione precoce della risposta, la valutazione della durata della risposta al trattamento e il monitoraggio delle resistenze. Questo potrebbe aiutare a ridurre i regimi terapeutici e ad evitare effetti collaterali non necessari in futuro.
Melanoma del braccio sinistro operato con massa surrenale sospetta alla TC.
Aumento dell’assorbimento in una massa surrenale sinistra e in un linfonodo nucale destro. La PET è utile per la ristadiazione dei pazienti con sospetta recidiva di melanoma.
Sospetta ripresa addominale in paziente già operato per melanoma. Si osservano diverse aree ipermetaboliche nei linfonodi addominali e pelvici e nel torace sinistro (piccolo nodulo sottocutaneo).
La localizzazione dei siti di recidiva del melanoma può essere difficile e le immagini TC sono quasi necessarie per identificare correttamente le lesioni.
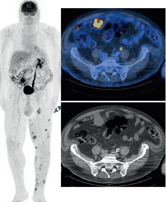
Ristadiazione di un melanoma avanzato. Diverse aree di aumento dell’assorbimento nell’arto inferiore di sinistra; areola di focale ed intenso assorbimento nell’intestino.
Il melanoma può diffondersi in tutte le parti del corpo. La PET-FDG permette di identificare metastasi intestinali che non sono facili da identificare con altri metodi diagnostici.
PET di follow-up in paziente con melanoma operato. Due aree ipermetaboliche in una vertebra toracica e nella milza.
Il melanoma cutaneo può diffondere localmente, regionalmente o in siti distanti. In questo caso è evidente un’aumentata fissazione intestinale, soprattutto al colon distale, non attribuibile alla patologia oncologica ma semplicemente a fenomeni infiammatori e irritativi.
Follow-up di paziente con melanoma della gamba destra. Intenso uptake di FDG in un linfonodo retroperitoneale.
Nelle fasi iniziali del melanoma, la PET/CT whole-body non è rilevante nella gestione del paziente. Tuttavia può essere utile:
negli individui con metastasi accertate che possono beneficiare di terapie personalizzate;
negli individui ad alto rischio di metastasi a distanza in base all’estensione loco-regionale della malattia;
nei pazienti con secondarismi a distanza sospetti all’imaging convenzionale.